Gerade Zahne Unterkiefer

Ccrtt Zahnspange Fur Gerade Zahne Kosmetische Ober Und Unterkiefer Extra Dunn Sicherer Komfort Kann Rauchflecken Mit Abschnitte Abdecken Einfach Passend Fur Alle Grossen Amazon De Kuche Haushalt

Zahnkorekktur Ohne Zahne Ziehen Prof Dr Med Dent Polzar Kku

Der X Effekt Als Unerwartete Komplikation Nach Retainerklebung Zwp Online Das Nachrichtenportal Fur Die Dentalbranche

Schweizer Aligner Gerade Zahne Fur Dich Minuten

Alternative Zum Zahnimplantat Lucke Mit Eigenen Zahnen Schliessen

Kieferorthopadie
Hallo, ich habe eine Kieferfehlstellung (mein UK ist zu weit hinten 10mm und mein OK ist zu schmal) Jetzt erstmal eine andere Sachen Eine Schauspi.

Gerade zahne unterkiefer. Gerade Zähne dank nahezu unsichtbarer Schiene Zahnkorrektur bei Kreuzbiss, schiefen Frontzähnen oder engem Unterkiefer Mit einem InmanAligner können die vorderen Zähne innerhalb weniger Wochen sanft in eine ideale Position geführt werden Die herausnehmbare Apparatur kann Ihrem Lebensstil angepasst werden und die Korrektur ist meist. SmileMeUp – Eine neue Chance Leider hat sich mein Unterkiefer in den vergangenen Jahren nicht wirklich zum Besseren entwickelt. Veneers Ebenmäßige und gerade Zähne sind für viele ein wichtiges Schönheitsmerkmal Mit Veneers, hauchdünnen Keramikplättchen, kann die Optik des Gebisses schonend und nachhaltig verbessert werden.
Schon seit Jahren, leide ich (16 Jahre, weiblich) an meiner Kieferfehlstellung Als ich etwa 8 Jahre alt war bekam ich zuerst mal eine herausnehmbare Zahnspange, die über Nacht zu tragen war, weil ich so extrem schiefe Zähne hatte Aber das brachte k. Retainer Dauerhaft gerade Zähne Definiert werden Retainer in der Zahnmedizin als ZahnStabilisatoren, die verhindern, dass sich die Zähne in ihre ursprüngliche Position zurück bewegen Angewendet werden Retainer nach einer kieferorthopädischen Behandlung im Rahmen der Nachbehandlung. Preissieger* – gerade Zähne ab 31 Unterkiefer 7 Monate Behandlungsdauer Bettina, Zahnengstand So können die Zähne schrittweise bewegt und in die gewünschte Position gebracht werden Die Zahnschiene sitzt dabei mit leichter Spannung auf den Zähnen Dies behindert in der Regel nicht beim Sprechen und ist zum Essen und zur.
Langfristig gerade Zähne Abschluss der Zahnkorrektur Dabei handelt es sich um einen Metalldraht, der häufig im Unterkiefer verwendet wird und zudem auch im Oberkiefer angewendet werden kann. Gerade Zähne mit günstigen transparenten Zahnschienen aus der Türkei März 24, 16 Bereits innerhalb dieses Zeitraums beginnen sich Ihre Zähne in die gewünschte Position zu verschieben Anschliessend wird die Behandlung fortgesetzt, indem die Invisalign Zahnschienen alle zwei Wochen durch neue Schienen ausgetauscht werden, undzwar so. Dabei interessiert ihn nicht nur, wie die Zähne sowie der Ober und Unterkiefer stehen Er wird auch sehen wollen, ob die Kauwerkzeuge gesund sind Wer seine Zähne gerade rücken lassen will.
Dabei interessiert ihn nicht nur, wie die Zähne sowie der Ober und Unterkiefer stehen Er wird auch sehen wollen, ob die Kauwerkzeuge gesund sind Wer seine Zähne gerade rücken lassen will. Retainer Dauerhaft gerade Zähne Definiert werden Retainer in der Zahnmedizin als ZahnStabilisatoren, die verhindern, dass sich die Zähne in ihre ursprüngliche Position zurück bewegen Angewendet werden Retainer nach einer kieferorthopädischen Behandlung im Rahmen der Nachbehandlung. Ohne Retainer verschieben sich die Zähne mit sehr hoher Wahrscheinlichkeit wieder und werden schief Die Rückfallwahrscheinlichkeit liegt nach 10 Jahren bei ca 90 % Die jahrelange Behandlung und die Freude über gerade Zähne wären ohne anschließende Stabilisation umsonst.
Retainer – gerade Zähne dauerhaft Am Ende einer kieferorthopädischen Behandlung werden den Patienten Haltebügel, sogenannte Retainer, angeboten die die Schneidezähne im Ober und Unterkiefer festhalten um eine erneute Fehlstellung zu verhindern. GERADE ZÄHNE IN KURZER ZEIT Unter dieser Rubrik finden Sie exemplarische Beispiele, welche Möglichkeiten die Behandlung mit einem Inman Aligner bieten UNTERKIEFER ENGSTAND Ein Inman Aligner wurde verwendet, um die oberen Schneidezähne noch besser auszurichten Um die stärker geschachtelten Unterkieferzähne zu begradigen, wurden 12. Das Versprechen gerade Zähne in drei bis zwölf Monaten für Preise von 1390 bis 4000 Euro, GeldzurückGarantie bei Nichterfolg Ihr Angebot zielt auf Erwachsene mit schiefen Zähnen wie mich.
Nach 4 Monaten habe ich tatsächlich abgespeckt und genau so gerade Zähne wie sie mir versprochen wurden Damit das auch so bleibt, bekomme ich RetainerSchienen für Ober und Unterkiefer, die ich jede Nacht tragen muss – höre ich damit auf, wandern die Zähne langsam wieder in den Ursprungszustand. SmileMeUp – Eine neue Chance Leider hat sich mein Unterkiefer in den vergangenen Jahren nicht wirklich zum Besseren entwickelt. Gerade Zähne dank nahezu unsichtbarer Schiene Zahnkorrektur bei Kreuzbiss, schiefen Frontzähnen oder engem Unterkiefer Mit einem InmanAligner können die vorderen Zähne innerhalb weniger Wochen sanft in eine ideale Position geführt werden Die herausnehmbare Apparatur kann Ihrem Lebensstil angepasst werden und die Korrektur ist meist.
Nach 4 Monaten habe ich tatsächlich abgespeckt und genau so gerade Zähne wie sie mir versprochen wurden Damit das auch so bleibt, bekomme ich RetainerSchienen für Ober und Unterkiefer, die ich jede Nacht tragen muss – höre ich damit auf, wandern die Zähne langsam wieder in den Ursprungszustand. Jeder Alignersatz wird speziell für Ihre Zähne maßgefertigt Mit Hilfe der einzelnen Aligner bewegen sich Ihre Zähne Schritt für Schritt, Woche für Woche bis zur gewünschten Endposition 3DScanner Dank unserer modernen 3DKieferScanner iTero® Element™ Scanner können Sie viel Zeit sparen und geniessen eine sehr komfortable. Der Retainer Gerade Zähne für immer Die Retention hat in gewisser Hinsicht die größte Bedeutung in der kieferorthopädischen Behandlung Wenn mit der Zahnspange ein funktionell und ästhetisch optimales Ergebnis erreicht wurde, kommt es darauf an, das Ergebnis für eine lange Zeit stabil zu halten.
Ist es möglich gerade Zähne ohne Spange zu bekommen?. Schon seit Jahren, leide ich (16 Jahre, weiblich) an meiner Kieferfehlstellung Als ich etwa 8 Jahre alt war bekam ich zuerst mal eine herausnehmbare Zahnspange, die über Nacht zu tragen war, weil ich so extrem schiefe Zähne hatte Aber das brachte k. Linker Unterkiefer Ziffer 7 ;.
Naja, aber nach nicht ganz 2 Jahren bekam ich das Ding ab und war glücklich, meine Zähne waren gerade und mein Kiefer sah normal aus Aber in den letzten 3 Jahren wanderte mein Unterkiefer wieder ein kleines Stück zurück und mein Kiefer begann ab und zu wenn ich meinen Mund aufmachte zu knacken. Einseitiger Kreuzbiss Die Zähne von Ober und Unterkiefer beißen auf einer Seite korrekt aufeinander Auf der anderen stehen die Zähne des Unterkiefers im Verhältnis zum Oberkiefer allerdings zu weit außen bzw die Zähne im Oberkiefer im Verhältnis zu den Unterkieferzähnen zu weit innen. Meine Zähne waren alle gerade ( nur gaaanz leicht schief der vordere Zahn im Unterkiefer ) jedoch habe ich die zahnspange bekommen, da ich leichten Überbiss hatte Nachdem ich die Zahnspange circa 2 Jahre getragen hatte, war alles ok und ich habe sie abbekommen, musste jedoch eine lose tragen.
Rechter Unterkiefer Ziffer 8 ;. Unterkiefer zu weit zurück was können Sie tun?. Preissieger* – gerade Zähne ab 31 Unterkiefer 7 Monate Behandlungsdauer Bettina, Zahnengstand So können die Zähne schrittweise bewegt und in die gewünschte Position gebracht werden Die Zahnschiene sitzt dabei mit leichter Spannung auf den Zähnen Dies behindert in der Regel nicht beim Sprechen und ist zum Essen und zur.
Preissieger* – gerade Zähne ab 31 Unterkiefer 7 Monate Behandlungsdauer Bettina, Zahnengstand So können die Zähne schrittweise bewegt und in die gewünschte Position gebracht werden Die Zahnschiene sitzt dabei mit leichter Spannung auf den Zähnen Dies behindert in der Regel nicht beim Sprechen und ist zum Essen und zur. Patient möchte gerade Zähne in Ober und Unterkiefer Wir haben uns für Invisalign entschieden Vor der Behandlung Nach der Behandlung Vor der Behandlung Nach der Behandlung Inman Aligner Patient möchtet gerade Zähne in der Unterkieferfront. Der Anteil der Zähne im Oberkiefer "Maxilla", die zum Gaumen hin zeigen, liegen palatinal und die Flächen der Zähne im Unterkiefer "Mandibula", die zur Zunge hin zeigen, liegen lingual Lagebezeichnung der Zähne Die Lagebezeichnung der Zähne gilt für Milchzähne, bleibende Zähne und für den Zahnersatz wie bei der ZahnFlächenbezeichnung.
Veneers Ebenmäßige und gerade Zähne sind für viele ein wichtiges Schönheitsmerkmal Mit Veneers, hauchdünnen Keramikplättchen, kann die Optik des Gebisses schonend und nachhaltig verbessert werden. Einseitiger Kreuzbiss Die Zähne von Ober und Unterkiefer beißen auf einer Seite korrekt aufeinander Auf der anderen stehen die Zähne des Unterkiefers im Verhältnis zum Oberkiefer allerdings zu weit außen bzw die Zähne im Oberkiefer im Verhältnis zu den Unterkieferzähnen zu weit innen. Gerade Zähne dank nahezu unsichtbarer Schiene Zahnkorrektur bei Kreuzbiss, schiefen Frontzähnen oder engem Unterkiefer Mit einem InmanAligner können die vorderen Zähne innerhalb weniger Wochen sanft in eine ideale Position geführt werden Die herausnehmbare Apparatur kann Ihrem Lebensstil angepasst werden und die Korrektur ist meist.
Das Versprechen gerade Zähne in drei bis zwölf Monaten für Preise von 1390 bis 4000 Euro, GeldzurückGarantie bei Nichterfolg Ihr Angebot zielt auf Erwachsene mit schiefen Zähnen wie mich. Gerade Zähne zaubern Symmetrie und Ästhetik in unser Gesicht Sie verändern unser Selbstwertgefühl, unsere Ausstrahlung und unser Leben Aber was macht man, wenn man im jungen Alter nicht die Möglichkeit hatte, eine kieferorthopädische Behandlung zu erfahren. Gerade Zähne dank nahezu unsichtbarer Schiene Zahnkorrektur bei Kreuzbiss, schiefen Frontzähnen oder engem Unterkiefer Mit einem InmanAligner können die vorderen Zähne innerhalb weniger Wochen sanft in eine ideale Position geführt werden Die herausnehmbare Apparatur kann Ihrem Lebensstil angepasst werden und die Korrektur ist meist.
Langfristig gerade Zähne Abschluss der Zahnkorrektur Dabei handelt es sich um einen Metalldraht, der häufig im Unterkiefer verwendet wird und zudem auch im Oberkiefer angewendet werden kann. Gerade Zähne dank nahezu unsichtbarer Schiene Zahnkorrektur bei Kreuzbiss, schiefen Frontzähnen oder engem Unterkiefer Mit einem InmanAligner können die vorderen Zähne innerhalb weniger Wochen sanft in eine ideale Position geführt werden Die herausnehmbare Apparatur kann Ihrem Lebensstil angepasst werden und die Korrektur ist meist. Meine Zähne waren alle gerade ( nur gaaanz leicht schief der vordere Zahn im Unterkiefer ) jedoch habe ich die zahnspange bekommen, da ich leichten Überbiss hatte Nachdem ich die Zahnspange circa 2 Jahre getragen hatte, war alles ok und ich habe sie abbekommen, musste jedoch eine lose tragen.
Schuppen bedeckten Leib, länglichen, stumpfen und niedergedrückten Kopf, kleine spitzige Zähne im Unterkiefer und kleine hechelförmige Zähne im Gaumen , an der Zunge und Lexikoneintrag zu »Hecht« Brockhaus BilderConversationsLexikon, Band 2 Leipzig 18, S 353 Hai. Vorbiss Genau gegenteilig zum Überbiss ist der Unterkiefer größer als der Oberkiefer und beim Zubeissen liegen die Zähne des Unterkiefers vor denen des oberen Kiefers Deckbiss, Tiefbiss oder tiefer Biss Die Zähne des Oberkiefers bedecken beim Zubeissen die Unterkieferzähne, weil bei dieser Fehlstellung die Zähne des oberen Kiefers zu. Gerade Zähne gehören ohne Zweifel zu einem gepflegten Erscheinungsbild dazu Wer schiefe Zähne vermeiden möchten, kann selbst seinen Beitrag dazu leisten Mehrere Bänden werden an den Zähnen befestigt und sorgen dafür, dass im Laufe der Zeit der Unterkiefer nach vorne gedrückt wird.
Mithilfe des Retainer Drahts können sich die Zähne nicht wieder in die ursprüngliche Position der Fehlstellung zurück verschieben und bleiben somit gerade Der Kieferorthopäde passt den Draht anhand eines Zahnabdrucks an Ihren Ober oder Unterkiefer an Dabei kann der Draht beispielsweise als 33Retainer von Eckzahn zu Eckzahn eingesetzt. Wenn das Wachstum von Ober und Unterkiefer beeinflusst werden soll, setzen wir funktionskieferorthopädische Apparaturen ein Mit dieser besonderen Form der losen Zahnspange lässt sich zB der Unterkiefer nach vorne bewegen, wenn er im Vergleich zum Oberkiefer zu weit zurück liegt. 1 kosmetische Zähne Basic 2 kosmetische Zähne SuperDeLuxe 3 kosmetische Zähne "NewGeneration" Die kosmetischen Zähne Basic sind naturgetreu geformte Zähne für den kleinen Geldbeutel, eine LowCostAlternative Diese wurden aus preisgünstigeren DentalMaterialien hergestellt Die Zahnfarbe als auch das Zahnfleisch wirken natürlich.
Hallo, ich habe eine Kieferfehlstellung (mein UK ist zu weit hinten 10mm und mein OK ist zu schmal) Jetzt erstmal eine andere Sachen Eine Schauspi. Hatte aber später wirklich recht schöne und gerade Zähne Obwohl ich es nach vielen Jahren irgendwann wirklich satt hatte und entschied, die Behandlung abzubrechen Genug war genug!. Sie meinte das dann nach der zahnspange mein unterkiefee weiter hinten wäre und ich dann im Unterkiefer operiert werden müsste deshalb hat sie mich gefragt ob ich die zahnspange wirklich möchte Ich möchte aber auch gerade zähne Haben bin übrigens 17 und bekomme die zahnspange mit 18 also würde ich ungefähr mit operiert werden.
DrSmile mit unsichtbaren Zahnschienen schnell zu geraden Zähnen sicher in deiner Nähe TÜVgeprüft Jetzt kostenlosen Infotermin vereinbaren!. Fehlen dahinter mindestens zwei Zähne, erhalten Sie einen Zuschuss bei zwei der Teleskopkronen Entsprechend müssen Sie bei einem zahnlosen Unterkiefer die Kosten selbst tragen Je nach Anzahl der zu ersetzenden Zähne und dem gewählten Material kommen hier Kosten von ca 1000 Euro bis hin zum Wert eines Kleinwagens auf Sie zu. DrSmile mit unsichtbaren Zahnschienen schnell zu geraden Zähnen sicher in deiner Nähe TÜVgeprüft Jetzt kostenlosen Infotermin vereinbaren!.
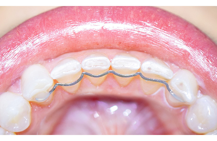
Veneers Ebenmäßige und gerade Zähne sind für viele ein wichtiges Schönheitsmerkmal Mit Veneers, hauchdünnen Keramikplättchen, kann die Optik des Gebisses schonend und nachhaltig verbessert werden. Langfristig gerade Zähne Abschluss der Zahnkorrektur Dabei handelt es sich um einen Metalldraht, der häufig im Unterkiefer verwendet wird und zudem auch im Oberkiefer angewendet werden kann. Das verhindert, dass sich die Zähne in ihre alte Position zurück verschieben Und sorgt dafür, dass Ihre Zähne auch nach dem Entfernen der Zahnspange langfristig gerade bleiben Was es mit diesen Begriffen auf sich hat und welche Kosten und Arten es bei Retainern zu beachten gibt, erfahren Sie hier im ausführlichen Artikel.
Hallo, habe gerade Ihre Schilderung über das, was Ihnen bevorsteht gelesen und möchte doch spontan darauf antworten Vor einer Woche habe ich in einer Sitzung 5 Zähne im Oberkiefer und 7 Zähne im Unterkiefer bei örtlicher Betäubung gezogen bekommen. Zahnspangen, Brackets und Schienen für Ihre geraden Zähne Kieferorthopäde Dr Tsaousidis ermittelt je nach Zahnfehlstellung Ihren individuellem Bedarf. Die innovative Zahnkorrektur für einfach gerade Zähne Eine komfortable Lösung für Ihr schönstes Lächeln Der Wunsch nach gerade Zähnen ist keine Frage des Alters Die Zahnkorrekturschienen von Schwan Aligner sind eine sehr unauffällige und komfortable Lösung den Traum von geraden Zähnen wahr werden zu lassen – ganz ohne sichtbare.
Die innovative Zahnkorrektur für einfach gerade Zähne Eine komfortable Lösung für Ihr schönstes Lächeln Der Wunsch nach gerade Zähnen ist keine Frage des Alters Die Zahnkorrekturschienen von Schwan Aligner sind eine sehr unauffällige und komfortable Lösung den Traum von geraden Zähnen wahr werden zu lassen – ganz ohne sichtbare. Gerade Zähne beeinflussen auch die Art und Weise, wie Sie das Essen kauen, sodass Sie eine bessere Verdauung haben Richtig ausgerichtete Zähne können auch die Probleme beseitigen, die durch einen falschen Biss, Kaubewegungen, Kieferprobleme und starken Verschleiß des Zahnschmelzes verursacht werden können. Eine allmähliche Verformung der Kieferknochen kann aber auch durch chronische mechanische Einwirkungen, beispielsweise Daumenlutschen, ungünstige Zahnpositionen oder ausgefallene Zähne, bedingt sein Symptome Der Unterkiefer kann zu weit nach vorne stehen (mandibuläre Prognathie, Progenie) oder zu kurz sein (mandibuläre Retrognathie).
>> Mit verschiedenen Tipps, wie Tricks lassen sich schiefe Zähne und somit Fehlstellungen am Gebiss entgegenwirken oder sogar ganz verhindern >> Mehr erfahren zur alternativen Zahnkorrektur bei schiefen Zähnen. Gerade Zähne beeinflussen auch die Art und Weise, wie Sie das Essen kauen, sodass Sie eine bessere Verdauung haben Richtig ausgerichtete Zähne können auch die Probleme beseitigen, die durch einen falschen Biss, Kaubewegungen, Kieferprobleme und starken Verschleiß des Zahnschmelzes verursacht werden können. Für viele Menschen sind gerade Zähne ein Indikator für Schönheit, Attraktivität und Erfolg Studien belegen, dass Menschen, die sich mit ihren Zähnen wohlfühlen, häufiger lachen und unbeschwerter durchs Leben gehen Nicht verwunderlich erscheint es da, dass gerade Zähne auch für ein allgemein verbessertes Lebensgefühl sorgen.
Allerdings stieß diese Zuordnung bereits des Öfteren auf Kritik, da die bleibenden Zähne aus chronologischer Sicht erst nach den Milchzähnen durchbrechen Wo findet das Zahnschema Anwendung?. DrSmile mit unsichtbaren Zahnschienen schnell zu geraden Zähnen sicher in deiner Nähe TÜVgeprüft Jetzt kostenlosen Infotermin vereinbaren!. Das verhindert, dass sich die Zähne in ihre alte Position zurück verschieben Und sorgt dafür, dass Ihre Zähne auch nach dem Entfernen der Zahnspange langfristig gerade bleiben Was es mit diesen Begriffen auf sich hat und welche Kosten und Arten es bei Retainern zu beachten gibt, erfahren Sie hier im ausführlichen Artikel.

Kieferorthopadie Innodentum Zahnarzt Bochum

Invisalign Die Unsichtbare Zahnkorrektur Praxis Dr Jakob Ihr Zahnarzt In Hamburg

Faq Beiss Die Zahne Zusammen Quarks De

Besser Als Make Up Gerade Zahne Mit Aligner Minuten

Zahneknirschen Was Bringen Zahnschienen Ndr De Ratgeber Gesundheit

Kieferfehlstellungen

Unsichtbare Zahnspange Bei Dr Anne Gresskowski In Nurnberg

Die Haufigsten Zahnfehlstellungen Uberbiss Kreuzbiss Tiefbiss Kieferorthopadische Praxis Dr Med Dent Peter Borg

Ist Eine Kreuzbissbehandlung Beim Erwachsenen Ohne Op Denkbar

Zahnspange Kosten Und Arten Auf Einen Blick

Ausrichtung Der Zahne Bisskorrektur Zu Erschwinglichen Preisen

Gerade Zahne Ohne Spange Diese Moglichkeiten Gibt Es Dentalwissen

Welche Unterschiede Gibt Es Beim Zahnersatz Kostenfalle Zahn

Kieferfehlstellungen Zahnfehlstellungen Fehlstellung Der Zahne

Abgenutzte Zahne Interview Mit Prof Dr Olze Zahnarzt Berlin Mitte

Unsichtbare Zahnspange Bei Dr Anne Gresskowski In Nurnberg

Schiefe Zahne Gerade Zahne

Zahnspangen Kfo Roloff

Zahnprothese Der Herausnehmbare Zahnersatz Dentolo

Das Quarree Dental Wenn Es Um Six Month Smiles Geht Quarree Dental

Schiefe Zahne
Ideale Verzahnung Kieferorthopade Lippstadt Dr Bianca Mertens

Vorher Nachher Zahnarzt Dr John Berlin Charlottenburg Wilmersdorf Westend

Frontzahn Komposit Zahnarzt Koln Maarweg

Kieferorthopadie Fur Erwachsene Spezialist In Fur Olten Oensingen Kanton Solothurn

Warum Eine Zahnspange Erforderlich Sein Kann

Cmd Test Im Internet

Nichtanlage Von Zahnen

Schiefe Zahne Test Dr Lynn Wilhelmy Von Bernstorff Dr Jan H Willmann

Retainer Sinnvoll Notwendig Retainer Kosten Der Zahnprofi
Q Tbn And9gcql2rurkpcdzragquoepfxrivxubpd1e0bdc2ps8 Usqp Cau

Zahnspange Fur Erwachsene Das Geht Apotheken Umschau

Mund Und Zahne Mit Einer Zahnspange Fur Erwachsene Konnen Sie In Nur 6 Monaten Ihr Lacheln Dramatisch Aufwerten Eine Korrektur Von Schiefen Gedrehten Oder Luckigen Zahnen Und Anderen Zahnfehlstellungen Ist Neben

Schiefe Zahne Auswirkungen Auf Die Psyche Und Das Selbstbewusstsein

Durchsichtige Zahnschiene Fur Erwachsene Wie Gut Sind Sie Stern De

Ein Retainer Fixiert Schone Gerade Zahne In Ihrer Position

Dysgnathie Dr Dr Kater Kieferfehlstellungen

Dysgnathie Dr Dr Kater Kieferfehlstellungen

Gerade Zahne In Nur 6 Monaten Casa Dental De

Schiefe Zahne Wie Sie Entstehen Wieder Gerade Werden Dentolo

Was Kann Man Gegen Schiefe Zahne Tun

Zahnspange Kosten Bei Erwachsenen Und Reinigen

Schiefe Zahne Wie Sie Entstehen Wieder Gerade Werden Dentolo

Findet Ihr Die Zahne Sind Arg Schief Und Ist Eine Zahnspang Notig Oder Ist Es Nicht Schlimm Gesundheit Und Medizin Meinung Schonheit

Wann Zum Kieferorthopaden Kostenfalle Zahn

Durchsichtige Zahnschiene Fur Erwachsene Wie Gut Sind Sie Stern De

Zahnfehlstellungen

Kieferorthopadie Zahnklammer Schiefe Zahne Verlagerte Zahne Zahnkorrekturen

Retainer Gerade Zahne Ein Leben Lang Kieferorthopadie

Festsitzender Retainer Die Beste Wahl Orthodentix Kieferorthopade

Unterkiefer Zu Weit Hinten Was Kann Man Tun Schmerzen Zahne Operation

Geht Kieferorthopadie Ohne Kieferchirurgie Zahnspangen De

Kieferorthopadie Innodentum Zahnarzt Bochum

Vorher Nachher Dr Grammatidis Partner In Kirchheim Unter Teck

Die Haufigsten Zahnfehlstellungen Uberbiss Kreuzbiss Tiefbiss Kieferorthopadische Praxis Dr Med Dent Peter Borg

Gerade Zahne Mit Gunstigen Transparenten Zahnschienen

Ein Retainer Fixiert Schone Gerade Zahne In Ihrer Position

Kieferorthopadie Innodentum Zahnarzt Bochum

Vorher Nachher Dr Grammatidis Partner In Kirchheim Unter Teck

Zahnspange Kosten Von Festsitzender U Herausnehmbarer Zahnregulierung

Gerade Zahne In Nur 6 Monaten Casa Dental De

Zahnfehlstellung Korrigieren Lassen 360 Zahnspange

Veneers Bleaching Dusseldorf Zahnarztpraxis Am Malkasten

Harmonieschiene Fur Gerade Zahne Umfangreicher Ratgeber Dentalwissen

Traumdeutung Zahne Zahn Deuten Und Verstehen

Harmonieschiene Beispiele Und Kosten

Darum Festsitzende Retainer Orthodentix Kieferorthopade

Mussen Weisheitszahne Gezogen Werden

Dentanova Mit Unsichtbaren Invisalign Spangen Zum Traumlacheln

Asthetische Zahnmedizin Schone Zahne Zahnarzt Team Luzern

Zahnregulierungen Was Lasst Sich Wie Korrigieren
Ideale Verzahnung Kieferorthopade Lippstadt Dr Bianca Mertens

Zahnspangen Und Zahnschienen Fur Kinder

So Erweitern Sie Mit Der Alignertherapie Ihr Behandlungsspektrum

Retainer Haltezahnspange In Unna Ergebnis Sichern

Schiefe Zahne Problemzonen Im Kiefer Stern De

Zahneknirschen Was Knirscherschienen Bringen Wohlbefinden Besser Leben Bayern 1 Radio Br De

Feste Spange Mehr Selbstvertrauen Durch Gerade Zahne Fixe Zahnspange

Wie Findet Ihr Meine Zahne Nach Der Zahnspange Schule Medizin Beauty

Title Of The Page

Clearsmile Inman Aligner

Warum Kfo

Zahnfehlstellungen Arten Ursachen Korrekturkosten

Vorher Nachher Zahnarzt Dr John Berlin Charlottenburg Wilmersdorf Westend

Unterkieferteleskopprothese Zahnlosen Unterkiefer Bilder
Q Tbn And9gcrcnvrrhg Dgpi3eg Rn2jlrfwgmoeiqkl1qtvyt660uznjpbx Usqp Cau

Behandlung Kfo Roloff

Innenliegende Zahnspange Info Kosten Arten Zahnspangensuche At

Zahnfehlstellungen Warum Behandeln Zahnarzt

Zahnspange So Werden Schiefe Zahne Wieder Gerade Wellnessbedarf

Uberbiss Und Unterbiss Wenn Der Richtige Biss Fehlt Stern De

Die 10 Haufigsten Zahnfehlstellungen Und Was Sie Dagegen Tun Konnen Plusdental Magazin
Q Tbn And9gcrvzh1xfkodfijae7clc6kpbqcx6pxoj6nn8hfiyhiojqev Tkl Usqp Cau

Kieferorthopadie Fur Erwachsene For A Better Smile
Q Tbn And9gcryprwnacycstngceaxr5vbp3ahlizqwfb9fqeicujsnp7l71s Usqp Cau

Nach Zahnspange Ergebnis Sichern Gerade Zahnen In Rastede

Zahnspange So Kriegst Du Gerade Zahne Fit For Fun

Vorher Nachher So Sehen Meine Zahne Jetzt Aus Meine Erfahrung Mit Invisalign Thebeauty2go Youtube