Meine Zahne Werden Durchsichtig

Abgenutzte Zahne Interview Mit Prof Dr Olze Zahnarzt Berlin Mitte

Zahne Vor Zahnerosion Schutzen Gesunder Korper

Durchsichtige Zahnschiene Von Smilemeup C Est Levi Lifestyle Blogazine

Die Haufigsten Zahnfehlstellungen Uberbiss Kreuzbiss Tiefbiss Kieferorthopadische Praxis Dr Med Dent Peter Borg

Bleaching Beim Zahnarzt Meine Erfahrungen

Haufig Gestellte Fragen An Den Zahnarzt
„Nachdem meine Mutter sich bei Herrn Dr Seidler die Zähne durch Schienen sehr schön hat behandeln lassen, wollte ich dann ebenfalls diese Methode probieren Diese Praxis hat einen Scanner Das heißt, man muss keine Abdrücke mehr machen, sondern die Zähne werden einfach nur gescannt.

Meine zahne werden durchsichtig. Ich hab ein Problem Meine Zähne sind quasi halb durchsichtig geworden Das Zentrum jedes Zahns ist okay, aber die Ränder sind so dünn Ich putze mir drei Mal am die Zähne mit einer Zahnpasta mit bleichendem Effekt (aus der Apotheke). Zähne werden durchsichtig und dunkel du bist ja schon ziemlich weit am Ende des SS, da braucht dein Zwerg schon recht viel Calcium und da kann das schon sein geh doch mal zum ZA und lass es Kontrollieren und frag ihn, was er denkt. Meine Zähne sind schon seit einiger Zeit unten an den Spitzen leicht durchsichtig udn meine Fingernägelspitzen sind auch nicht strahlend weiß, sondern an den Seiten durchsichtig und sonst auch leicht gräulich geh ich recht in der Annahme dass das Calcium oder/und Magnesiummangel ist?.
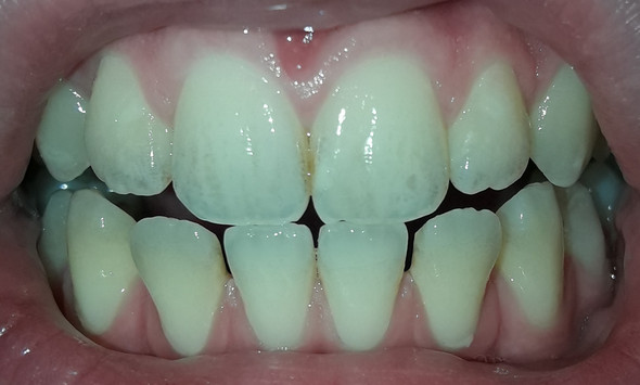
Verfärbungen Ihre Zähne können gelblicher erscheinen, weil mehr Dentin (die Schicht unterhalb des Zahnschmelzes) freigelegt wird Durchsichtige Kanten In der Nähe der Bissflächen können Ihre Vorderzähne durchsichtig werden. Nur dachte ich, dass meine Zahnfarbe durch den Schmelzaufbau etwas heller wird und meine Zähne weniger durchsichtig werden Leider habe ich in meinem Alter (19) nämlich schon Zähne, mit durchsichtigen Stellen ( Diese durchsichtigen Stellen sind noch nicht verschwunden, aber wer weiß, vielleicht ändert sich das noch?!. Wer sich schon einmal gefragt hat, welche Zahnfarben es gibt und wie diese für Zahnersatz bestimmt werden können, für den ist der nachfolgende Text interessant Die Farbe der Zähne wird zum größten Teil vom Dentin bestimmt Der Zahnschmelz ist transparent bzw farblos.
Ich würde meine Nägel gerne langwachsen lassen, wenn sie jedoch schon ein bisschen gewachsten sind, werden sie durchsichtig un manchmal habe ich dan sehr raue stellen an meinen nägeln Manchmal blättert dann die oberste schicht von meinen nägeln ab Zudem werden die Nägel sehr weich, aber nur an bestimmten Fingern Ich habe es schon mit Nagelhärter und Nagelöl probiert, bin aber schon. Hilfe zähne werden schwarz Diskutiere hilfe zähne werden schwarz im Gesundheit & Ernährung von Babys Forum im Bereich Gesundheit, Ernährung & Rezepte;. Gerade Zähne ohne Arztbesuch geht das?.
Gibt es eine Zahnpasta/Spülung zu kaufen, die das Zahnschmelz. Ich habe es zuerst an den unteren Schneidezähnen gemerkt Die wurden am rechten und linken Rand durchsichtig (also nicht klar durchsichtig, sondern milchig). Ich hab heute beim Zähneputzen meine Zähne mal sehr genau angeschaut (hab mir in den letzten 2 Wochen 5 Zähne von Amalgam entfernen lassen und wollte das mal genauestens begutachten und habe gesehen, dass die Schneidezähne an den Enden nicht mehr richtig weiß sind, sondern eher durchsichtig, wie wenn sie an Substanz abbauen würden.
Meine schiefen Zähne haben mich schon immer gestört Ich wusste einfach nicht, dass man sich die Zähne auch als Erwachsener noch richten lassen kann Ich bin richtig froh, dass meine Zahnärztin mir diesen Tipp gegeben hat Danke!. Oberen Schneidezähne Im unteren Teil sind die sogar schon durchsichtig Ich benutze Mündspülung und trinke Cola Kann das damit dass die oberen Schneidezähne nach unten hin glasiger werden aber bei manchen ist es schon extrem da muss man mit dem zähne, mund 0806, 1507. Ich hatte hier mal was über Zähne gelesen und finde es nicht mehr Wie sehen Eure Zähne aus?.
Zähne aufhellen Zuhause Wer beim Zähne bleichen selbst Hand anlegt, kommt günstig weg Zwischen etwa 4 und 90 Euro kosten handelsübliche BleachingProdukte wie Pasten, Gels, Strips oder Schienen Welche Behandlungen werden von der GKV übernommen?. Mehrere Onlineportale verkaufen durchsichtige Zahnschienen für Erwachsene Unser Autor hat den Test gemacht. Anja brauchte8 HarmonieSchienen® im Unterkiefer;.
Meine Erfahrungen mit Kunststoffschienen und spezifisch mit Invisalign Go sind überaus positiv Das Konzept erfüllt meine Erwartungen Unter anderem, weil es stetig weiterentwickelt und verbessert wird Die Zähne informierter Patienten werden weniger schnell krank und rascher gesund Deshalb behalten wir unser Wissen nicht für uns. Wenn in einem Alter 40 die Zähne glasiger werden, vielleicht auch ungefährliche winzige Sprünge haben, ist das ganz normal, nur leider gibt es reichlich viele Menschen, die etwas daran hässlich finden und andere ,die das auch noch vermarkten (Bleeching etc)Dein unverbogenes Aussehen ist ok, wenn die Zähne gepflegt sind. Wenn das Zähne aufhellen fachgerecht unter zahnärztlicher Aufsicht durchgeführt wird, schadet es nicht Zuerst muss untersucht werden, ob Karies, Risse im Schmelz, defekte Füllungen oder freiliegendes Dentin am Zahn vorhanden sind Diese Stellen werden vor der Behandlung mit einem speziellen lichthärtenden Material abgedeckt.
Putze deine Zähne Du musst deine Zähne mindestens zweimal am mit einer weichen Zahnbürste putzen Die Zähne können auch dadurch beschädigt werden, dass du zu feste putzt oder eine Zahnbürste mit zu harten Borsten benutzt Lass die Zahncreme im Mund und spüle sie nicht aus Spucke nur den Schaum aus, aber spüle nicht mit Wasser nach. Sein und der Stoff an sich etwas dicker als bei anderen Bikinis # #es kommt immer auf die Qualität des Stoffes an fragen,woher ich wissen kann, dass er dann im Wasser nicht durchsichtig wird $ Dankee # #Achte darauf das der Bikini gefüttert hatte vor demnächst Bikinis zu kaufen, am liebsten einen weißenJetzt wollte ich fragen,woher ich wissen kann. Sabrina M Login nur für Mitglieder Benutzer Passwort.
Bröckeln unsere Zähne, werden sie rau oder gelblich, sind das nicht immer nur altersbedingte Abnutzungserscheinungen Ein Experte erklärt, hinter welchen Veränderungen an den Zähnen welche. Meine schiefen Zähne haben mich schon immer gestört Ich wusste einfach nicht, dass man sich die Zähne auch als Erwachsener noch richten lassen kann Ich bin richtig froh, dass meine Zahnärztin mir diesen Tipp gegeben hat Danke!. Sind die auch irgendwie verfärbt?.
Zähne werden durchsichtig und dunkel du bist ja schon ziemlich weit am Ende des SS, da braucht dein Zwerg schon recht viel Calcium und da kann das schon sein geh doch mal zum ZA und lass es Kontrollieren und frag ihn, was er denkt. Ich habe es zuerst an den unteren Schneidezähnen gemerkt Die wurden am rechten und linken Rand durchsichtig (also nicht klar durchsichtig, sondern milchig). Anja brauchte8 HarmonieSchienen® im Unterkiefer;.
Meine Zähne werden durchsichtig Warum?. Durch schöne Zähne, Vitalität, eine positive Ausstrahlung und erfolgreiches Auftreten Schöne Zähne werden mit Jugend, Gesundheit und Bildung assoziiert Neben der Zahnform, der Zahnfarbe und dem gesunden Zustand des Zahnfleisches ist die Harmonie der verschiedenen Komponenten entscheidend. Hallo ihr lieben meine Maus wurde am donnerstag operiert am Abend viel uns auf das ihr zwei Zähne vorne durchsichtig und denn dunkler wurden.
Aber meine echten Zähne werden im Sonnenlicht weißer anstatt gelber, von daher stimmt da was nicht Von der Farbe A1 wurde mir abgeraten, weil es angeblich zu künstlich aussehen würde, viel zu. Ich hab ein Problem Habt ihr das auch seit ich schwanger bin bzw in letzter Zeit werden meine Zähne vorne immer durchsichtiger und manchmal wenn ich dann Kaffee oder tee trinke, dann sehen die ganz dunkel. Mehrere Onlineportale verkaufen durchsichtige Zahnschienen für Erwachsene Unser Autor hat den Test gemacht.
Die Zähne sollten richtig geputzt werden, in kreisförmigen Bewegungen, ansonsten werden die Zähne wohl noch mehr abgenutzt (ein Zahncreme mit Fluor sollte verwendet werden) Man sollte darauf achten, dass man nicht zu viel säurehaltige Getränke zu sich nehmen, als Trick eignet sich wohl ein Strohhalm, um die Getränke gleich schlucken zu. Ich hatte hier mal was über Zähne gelesen und finde es nicht mehr Wie sehen Eure Zähne aus?. Die Wachstumslinien (Perikymatien) sind nicht mehr zu erkennen An den Schneidekanten wirken die Zähne durchsichtig, sie sind transluzent Mittlere Erosion Die Zahnkanten runden sich ab, und die Zahnhälse werden empfindlich, da die SchmelzZementGrenze immer mehr freigelegt wird Die Zähne wirken stumpf.
Meine Zähne werden durchsichtig an den Enden?. Meine schiefen Zähne haben mich schon immer gestört Ich wusste einfach nicht, dass man sich die Zähne auch als Erwachsener noch richten lassen kann Ich bin richtig froh, dass meine Zahnärztin mir diesen Tipp gegeben hat Danke!. Damit Sie zu Hause mit Ihrem Was tun wenn zähne durchsichtig werden am Ende in allen Aspekten glücklich sind, haben wir auch eine Menge an unpassenden Produkte vor Veröffentlichung rausgeworfen In unserem Vergleich finden Sie als Kunde tatsächlich nur die Produktauswahl, die unseren enorm geregelten Maßstäben erfüllen konnten.
Bröckeln unsere Zähne, werden sie rau oder gelblich, sind das nicht immer nur altersbedingte Abnutzungserscheinungen Ein Experte erklärt, hinter welchen Veränderungen an den Zähnen welche. Meine Schneidezähne sind an den Bisskanten etwas durchsichtig ich nehme mal an, das liegt am "verlorengegangen" Zahnschmelz Ist das nun schon tragisch oder hat das jeder?. Anja brauchte8 HarmonieSchienen® im Unterkiefer;.
Hilfe zähne werden schwarz Diskutiere hilfe zähne werden schwarz im Gesundheit & Ernährung von Babys Forum im Bereich Gesundheit, Ernährung & Rezepte;. Zähne werden durchsichtig Anzahl der Beiträge 1 Eine Antwort geben Eine Frage stellen Alle Foren anzeigen erstellt 2116 Sabrina aus Paderborn Mir ist aufgefallen dass meine Zähne durchsichtig werden Was hat das zu bedeuten?. Hallo ihr lieben meine Maus wurde am donnerstag operiert am Abend viel uns auf das ihr zwei Zähne vorne durchsichtig und denn dunkler wurden.
Ich habe nicht mehr so weiße Zähne wie früher, aber ich rauche nicht und ich trinke auch nur Kräutertee Also nicht den schwarzen Tee, wo sich die Zähne verfärben können Außerdem sind meine Zähne zur Hälfte so wie durchsichtig. Bröckeln unsere Zähne, werden sie rau oder gelblich, sind das nicht immer nur altersbedingte Abnutzungserscheinungen Ein Experte erklärt, hinter welchen Veränderungen an den Zähnen welche. 1510 HDL Cholesterin zu hoch 1410.
Ich hab ein Problem Habt ihr das auch seit ich schwanger bin bzw in letzter Zeit werden meine Zähne vorne immer durchsichtiger und manchmal wenn ich dann Kaffee oder tee trinke, dann sehen die ganz dunkel. Wer sich schon einmal gefragt hat, welche Zahnfarben es gibt und wie diese für Zahnersatz bestimmt werden können, für den ist der nachfolgende Text interessant Die Farbe der Zähne wird zum größten Teil vom Dentin bestimmt Der Zahnschmelz ist transparent bzw farblos. Weiße Bikinis wie kaufen?.
Die Schneidekanten werden dünner, die Kauflächen flachen ab Die Zähne werden schmerzempfindlicher gegen Heißes und Kaltes Betroffene Zähne heilen sich nicht selbst, aufgelöster Zahnschmelz. Diese werden an die Zähne geklebt oder zementiert und dann durch einen Draht miteinander verbunden Der Vorteil ist, dass die Spange immer wirkt, auch ist die Behandlungsdauer in der Regel kürzer Zu den Nachteilen sei gesagt, dass die Zahnpflege erschwert wird, da alle Speisereste mehrmals täglich mit speziellen Bürsten entfernt werden. Seit ca einem Jahr beobachte ich, dass meine Zähne (alle) immer durchsichtiger werden Inzwischen sind sie fast zur Hälfte durchsichtig und die Zahnspitzen der Schneidezähne sogar klar Ich war bei drei Zahnärzten, die mir keine Antwort darauf geben konnten Sie meinten nur "ich solle mir keine Sorgen machen".
Durchsichtige Zähne Ich habe seit längerem ein Problem, und zwar sind meine Zähne durchsichtig geworden und haben risse bekommen Ich war dann auch schon beim Zahnarzt und der hat mir dann gesagt das ich in der nacht Knirsche und eine Schiene bekomme. Mental stärker werden 1510 Darmentzündung welche Vitamine Stoffe helfen?. Sabrina M Login nur für Mitglieder Benutzer Passwort.
Meine Zähne sind schon seit einiger Zeit unten an den Spitzen leicht durchsichtig udn meine Fingernägelspitzen sind auch nicht strahlend weiß, sondern an den Seiten durchsichtig und sonst auch leicht gräulich geh ich recht in der Annahme dass das Calcium oder/und Magnesiummangel ist?. Die Zähne verschieben sich bei mir nicht ohne Bildung von temporären Zahnlücken, die dann mit Folgeschienen wieder geschlossen werden Auf Nachfrage hieß es, dass hier erst einmal Platz geschaffen werden müsse, damit meine zu eng stehenden Zähne dann in Reih und Glied geschoben werden können, was ich inzwischen bestätigen kann. Meine Freundin hat eine einzige ältere Füllung im Backenzahn,putz sich nur 1mal morgens die Zähne,nimmt Zahnseide nur dann,wenn sie zum Zahnarzt geht und mampft ne Menge Süssigkeiten am Sie hat so super Zähne,dass man einfach nur neidisch werden könnteDas erhärtet meine Vermutung,dass kaputte Zähne im Zusammenhang mit den Füllung.
Die Wachstumslinien (Perikymatien) sind nicht mehr zu erkennen An den Schneidekanten wirken die Zähne durchsichtig, sie sind transluzent Mittlere Erosion Die Zahnkanten runden sich ab, und die Zahnhälse werden empfindlich, da die SchmelzZementGrenze immer mehr freigelegt wird Die Zähne wirken stumpf. Zähne werden durchsichtig Anzahl der Beiträge 1 Eine Antwort geben Eine Frage stellen Alle Foren anzeigen erstellt 2116 Sabrina aus Paderborn Mir ist aufgefallen dass meine Zähne durchsichtig werden Was hat das zu bedeuten?. Meine Zähne werden durchsichtig Warum?.
Sein und der Stoff an sich etwas dicker als bei anderen Bikinis # #es kommt immer auf die Qualität des Stoffes an fragen,woher ich wissen kann, dass er dann im Wasser nicht durchsichtig wird $ Dankee # #Achte darauf das der Bikini gefüttert hatte vor demnächst Bikinis zu kaufen, am liebsten einen weißenJetzt wollte ich fragen,woher ich wissen kann. "Gerade Zähne in kurzer Zeit" Hiermit wirbt SunshineSmile und weist auf Behandlungsdauern von durchschnittlich nur sechs Monaten hin Die Kosten für die gesamte Behandlung mit durchsichtigen Zahnschienen liegen mit 19 Euro auf niedrigerem Niveau als beim Kieferorthopäden und können auch in Raten ab 39,50 Euro monatlich beglichen werden. So habe ich begonnen im Internet zu Recherchieren und dabei einige Möglichkeiten gefunden meine Zähne gegen Krankheiten zu unterstützen Bis zu diesem Zeitpunkt wusste ich nichts davon dass Zähne auch geheilt werden können Aber man lernt ja nie aus 😉 Nach dieser Erkenntnis wuchs die Idee diesen Test zu machen und zu veröffentlichen.
Insbesondere die notwendige Beschleifung der Zähne bei herkömmlichen Veneers kann zu Komplikationen führen So kann der Zahn durch die Schmelzabtragung besonders hitze und kälteempfindlich werden und deshalb beim Verzehr heißer oder kalter Speisen und Getränke einen stechenden Schmerz verursachen. Ich habe nicht mehr so weiße Zähne wie früher, aber ich rauche nicht und ich trinke auch nur Kräutertee Also nicht den schwarzen Tee, wo sich die Zähne verfärben können Außerdem sind meine Zähne zur Hälfte so wie durchsichtig. Und mir ist aufgefallen das meine Zähne vorne nicht ganz eine Farbe haben wen man die genau anguckt sind die etwas durchsichtig und weiß schlecht zu beschreiben und in der kaufläche sind die auch durchsichtig aber normal hab ich echt gute Zähne finde ich die sind halt vorne etwas lang und sehr flach ich hab angst das die leicht zerbrechlich sind hab auch vor 2 Jahren mein Zahn leicht abgebrochen bei einem Sturtz.
Eine Zahnaufhellung wird grundsätzlich nicht von den gesetzlichen Krankenkassen übernommen. Durchsichtige Zähne Ich habe seit längerem ein Problem, und zwar sind meine Zähne durchsichtig geworden und haben risse bekommen Ich war dann auch schon beim Zahnarzt und der hat mir dann gesagt das ich in der nacht Knirsche und eine Schiene bekomme. Gerade Zähne ohne Arztbesuch geht das?.
Im fortgeschrittenen Stadium lässt sich Zahnerosion gut erkennen Die Zähne werden durchsichtig, besonders an den „Kanten“, sie wirken dünner und haben ihren Glanz verloren Schmerzempfindliche Zähne können die Folge sein Wussten Sie, dass neben einer säurehaltigen Ernährung auch falsches Zähneputzen Zahnschmelzdefekte fördert?. Weiße Bikinis wie kaufen?. Insbesondere die notwendige Beschleifung der Zähne bei herkömmlichen Veneers kann zu Komplikationen führen So kann der Zahn durch die Schmelzabtragung besonders hitze und kälteempfindlich werden und deshalb beim Verzehr heißer oder kalter Speisen und Getränke einen stechenden Schmerz verursachen.
Diskutiere hilfe zähne werden schwarz im Gesundheit & Ernährung von Babys Forum im Bereich Gesundheit, Ernährung & Rezepte;. Vor einigen Monaten fiel mir plötzlich auf, daß meine Zähne im oberen Drittel entfärbt und durchsichtig geworden sind Da ich auf meine Zähne achte, bin ich sicher, daß das eine Entwicklung ist, die relativ neu ist. Selbstverständlich werden die Zähne nicht gänzlich durchsichtig, bei genauerem Hinsehen lässt sich jedoch bei vielen Menschen feststellen, dass vor allem die Schneidekanten leicht durchscheinend wirken Ein weiteres Anzeichen sind schmerzempfindliche Zähne, die vor allem auf Kälte oder Hitze reagieren.

Bqybyysbp Pznm

Zahnschmelzabbau Symptome Denta Expert De

Durchsichtige Zahnschiene Weisse Flecken Zahne Zahnspange Durchsichtig

Meine Zahne Sind Sehr Schlimm Foto Gesundheit Und Medizin Gesundheit

N Jpg 960 960 Mund Clipart Clipart Zahne Putzen

Durchsichtige Zahnschiene Fur Erwachsene Wie Gut Sind Sie Stern De

Zahnbleaching Mit Philips Zoom Bride Moments

Aligner Minden Unsichtbare Zahnspangen Fur Gerade Zahne

Unsichtbare Zahnschienen Fur Schone Gerade Zahne In Wilhelmshaven

Patientenfrage Schneidezahne Am Rand Durchsichtig

Zahnspange Salzburg Dr Michael Knoll

Teeth Pictures Clip Art Google Pretrazivanje Mund Clipart Zahne Putzen Zahne

Zahnspangen Fur Erwachsene Women S Health

Warum Ist Der Zahnschmelz Transparent 5dent De

Professionell Zahne Aufhellen Zahnbleaching Dental Team Dr Hajto Munchen

Gerade Zahne Durchsichtige Zahnspange Drsmile Mayra Joann Youtube

Gpi Anatomicals 2861 Gebiss Modell Durchsichtig Mit Zahnen Amazon De Gewerbe Industrie Wissenschaft

Unsichtbare Zahnspange Im Test Men S Health

Kreidezahne Zahnarzte Warnen Vor Neuer Volkskrankheit Mih Der Spiegel

Test Beginn Was Ist Die Durchsichtige Zahnspange Fur Erwachsene Vicky Wanka Fashionblog

Foryoufirst Durchsichtige Smiletogo Zahnspangen Zu Fairen Preisen

Durchsichtige Zahnspange Kosten Zahne Durchsichtig

Zahnfleischentzundung Rot Wie Angegriffenes Zahnfleisch Stern De

Test Beginn Was Ist Die Durchsichtige Zahnspange Fur Erwachsene Vicky Wanka Fashionblog

Schiefe Zahne Wie Sie Entstehen Wieder Gerade Werden Dentolo

Zahnspange Invisalign Erfahrungen Einer Redakteurin Stylight

Professionell Zahne Aufhellen Zahnbleaching Dental Team Dr Hajto Munchen

Ilovemysmile Durchsichtige Zahnkorrektur Mit Invisalign

Durchsichtige Korrekturschienen Meine Erfahrungen

Zahnarzt Chlosta Duisburg Invisalign Erfahrungsbericht

Bleaching Nur Schon Oder Schadlich Startseite Swr Odysso Swr De

Fluoroseflecken Auf Den Zahnen Behandeln Dentalmagazin De

Professionell Zahne Aufhellen Zahnbleaching Dental Team Dr Hajto Munchen

Unsichtbare Zahnschienen Neuer Trend Kostenfalle Zahn

Lumineers Keramikschalen Hauchdunne Zahnasthetik

Pin Auf Wall Of Smiles

Zahne Gerade Rucken Mit Dr Smile Ein Testbericht 2 2

Mein Endergebnis Zahnspange Mit Vorher Nachher Bildern Ein Jahr Mit Speed Brackets Invisalign Bleaching Collected By Katja Lifestyle Blog For Women Not Girls

Die Haufigsten Zahnfehlstellungen Uberbiss Kreuzbiss Tiefbiss Kieferorthopadische Praxis Dr Med Dent Peter Borg

Foryoufirst Durchsichtige Smiletogo Zahnspangen Zu Fairen Preisen

Bleaching Fakten

Paid Post Meine Zahne Haben Mich Jahrelang Gestort

Harmonieschiene Beispiele Und Kosten

Kreidezahne Zahnarzte Warnen Vor Neuer Volkskrankheit Mih Der Spiegel

Aligner Therapie Die Unsichtbare Zahnschiene Zahnspangensuche De

Zahnspangen Fur Erwachsene Women S Health

Zahnschmelzabbau Ursachen Massnahmen Zur Vorbeugung

Fluorose Weisse Flecken Auf Den Zahne

Was Ist Mit Meinen Zahnen Falsch Mit Bild Gesundheit Und Medizin Gesundheit Medizin

Wie Du Deine Zahne Heilen Kannst Kusumitra

Brucelin 5 Stuck Friseurwerkzeug Kunststoff Handgefertigt Mit Kamm 23 Zahne Tragbar Durchsichtig Amazon De Kuche Haushalt

Meine Aligner Sind Immer Dabei Gerade Zahne Schone Zahne Durchsichtig

Vorher Nachher So Sehen Meine Zahne Jetzt Aus Meine Erfahrung Mit Invisalign Thebeauty2go Youtube

Drsmile Mit Unsichtbaren Zahnschienen Zu Geraden Zahnen

Zahne Schiene Frage Spange Durchsichtig

Unsichtbare Zahnspange Mannheim Kieferorthopade

Kieferorthopade Wie Arzte Mit Zahnspangen Kasse Machen Stern De

Zahne Brechen Was Kann Ich Tun Dr Burger

Fixe Zahnspange Wie Brackets Zahne Zurechtrucken Herold At

Durchsichtige Zahnschiene Von Smilemeup C Est Levi Lifestyle Blogazine

Test Beginn Was Ist Die Durchsichtige Zahnspange Fur Erwachsene Vicky Wanka Fashionblog

Zahnschmelzabbau Symptome Denta Expert De

Locker Fest Oder Durchsichtig Zwp Online Das Nachrichtenportal Fur Die Dentalbranche

Sharprepublic 18 K Zahn Grill Zahnschmuck Obere Und Untere Zahnreihe Durchsichtig Zahne Schmuck Fur Fotografieren Schwarz Amazon De Schmuck

Frage Zu Zahne Gesundheit Und Medizin Zahnarzt

Wie Muss Ich Meine Zahne Zusammen Beissen Zahnspange Kieferorthopade

Harmonieschiene Beispiele Und Kosten

Zahne Und Psyche Stress Geht Aufs Gebiss Stern De

Zahne Sind Durchsichtig Hilfe Zahnschmelz

Warum Sind Meine Zahne Unten Durchsichtig Geworden Hilfe Zahnarzt Zahnmedizin Kieferorthopade

Erfahrung Mit Durchsichtiger Zahnspange Schaffhauser Nachrichten

Unsichtbare Zahnspange Vor Und Nachteile Netdoktor

Ilovemysmile Durchsichtige Zahnkorrektur Mit Invisalign

Zahnspange Fur Erwachsene Das Ergebnis Nach Drei Monaten Brackets Und Meine Erfahrung Mit Invisalign Collected By Katja Lifestyle Blog For Women Not Girls

Schaden Durch Zahneknirschen Erosion Behandeln Lassen

Kieferorthopade Munchen Dental One

Zahne Werden Durchsichtig Forum Kleinkind Urbia De

Interessenten

Zahnfleisch Die Meistgelesenen Fragen

Warum Werden Zahne Gelb

Durchsichtige Zahnspange Von Drsmile Teil 1 Alicia Wunderbar Youtube

Pro Pflege Gesundheit Zahne Mundschutz Stoppen Bruxismus Handschlag Retainer Durchsichtig Amazon De Sport Freizeit

Das Sagen Bestsmile Kund Innen Uber Die Durchsichtige Zahnspange Schone Zahne Schones Lacheln Zahnspange

Bleaching Nur Schon Oder Schadlich Startseite Swr Odysso Swr De

Kieferorthopaden In Adent Zahnkliniken Fur Kinder Und Erwachsene

Zahne Aufhellen Bleaching Methoden Im Vergleich Stern De

Durchsichtige Zahnschienen Aus Dem Web Wie Gut Sie Sind Zahnschiene Zahnarzt Gerade Zahne

Mimos Erfahrungen Mit Zahnschienen Plusdental Magazin

Schaden Durch Zahneknirschen Erosion Behandeln Lassen
Bleaching Beim Zahnarzt Meine Erfahrungen

Warum Tiefsee Drachenfische Durchsichtige Zahne Haben Zwp Online Das Nachrichtenportal Fur Die Dentalbranche

Wie Lange Dauert Es Bis Meine Zahne Gerade Sind

Schiefe Zahne Wie Sie Entstehen Wieder Gerade Werden Dentolo
Zahnmedizin Gel Lasst Zahnschmelz Neu Entstehen