Ich Hasse Meine Zahne

Zahnkorrektur Fur Erwachsene Zahnspange Mit Invisalign Oder Brackets Veneers Collected By Katja Lifestyle Blog For Women Not Girls

Ich Habe Meine Zahnspange Gehasst Und Bin Ihr Doch Sehr Dankbar Stern De

Ich Hasse Meine Zahne Zahnspange

Empfehlungen

Ich Hasse Meinen Job Dein Ernst Trinkflasche Spreadshirt

Zahne Zahneputzen Zahnpflege Mit Festen Zahnspange
Undzwar, ich hasse mein Leben und alle Menschen um mich herum, ich habe keine richtigen Eltern, ich hasse sie ĂŒber alles ich habe 0 Vertrauen mehr mit meiner ganzen Familie Ich streite mich mit meiner Mutter jeden wegen einer Kleinigkeit, meine Mutter ist sehr geizig, ich habe sie mal nach 8 Euro gefragt damit ich mit Freunden draussen.

Ich hasse meine zahne. Von lind99 Ich hatte heute genau meinen dritten Studiumstag und ich hasse es einfach Ich hab das Fach Sozialwissenschaften und es interessiert mich nicht im geringsten Ich wĂ€re von allein niemals drauf gekommen nur hat meine Mutter mich dazu mehr oder weniger "gezwungen" , weil sie mal gehört hat ,dass eine Bekannte von 'ner Freundin mit was Ă€hnlichem einen tollen BĂŒrojob bekommen hat. AW Ich HASSE meine Haare ( Zitat von MissPoppy Ich habe mir mal die Khadi Farben angesehen, da die ja echt toll sein sollen, hab aber etwas Angst vor dem Ergebnis. Hallo allerseits, mein name ist Mary, meine Geschichte ist traurig und gleichzeitig sehr BerĂŒhrend Ich habe diese GefĂŒhle schon lange festgehalten, und schl.
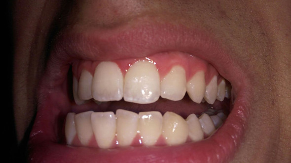
Hallo, wie ihr in der ĂŒberschrift sieht *ich hasse meine zĂ€hne* ich hasse meine zĂ€hne einfach sie sind so gelb und ungerade ich traue mich nie zu lachen wenn man meine zĂ€hne sieht auf keinen foto sieht man mich mit einem lachen mit zĂ€hnen und ich lache einfach nie und deswegen habe ich warscheinlich nicht viel freunde weil es heist doch wenn man lacht dann hat man kein streit oder so ich. Ich hasse meine Augen â sie sind zu klein und ich habe einen Silberblick Ich bin wirklich hĂ€sslich ohne Makeup, darum trage ich immer welches Es macht mich selbstbewusster. AW Ich hasse meine Frau und sie weiĂ es Zitat von pxx62 Ich wĂŒrde vieles anders machen, wenn ich noch einmal die Chance hĂ€tte, Entscheidungen erneut treffen zu können, aber leider ist das ja.
đĄich Hasse meine Nachbars Kinder (Fortnite life)in diesem Fortnite life video von imNatiz, NatizTV gehts es darum das MIDAS REX und MENACE der SEAOSN 5 Batt. Ich legte mein Handy vor mich und putzte meine ZĂ€hne âHeyyy" sagte sie wĂ€hrend sie ihre Haare bĂŒrstete âHey Schatz" antwortete ich nachdem ich mein Mund ausgespĂŒlt hatte âHast du mit deinem Bruder gesprochen?" fragte ich sie âJa ich kann heute" sagte sie âTamam ich hole dich um 00 Uhr ab" sagte ich und föhnte meine. Danke, ich hasse ZĂ€hne im Mund Close Posted by 3 months ago Danke, ich hasse ZĂ€hne im Mund 3 comments share save hide report 100% Upvoted Log in or sign up to leave a comment Log In Sign Up Sort by best level 1 6 points · 3 months ago Woher wissen wir was ĂŒber den NĂ€hrwert von BackenzĂ€hnen.
Ich hasse meine ZĂ€hne extrem und traue mich nicht zu lachen, ich fĂŒhle mich so hĂ€sslich damit Der kfo sagt immer wieder nur, ich soll in einem halben Jahr wiederkommen, weil sich da noch einiges verschieben kann Mag ja sein, aber ich halte es einfach nicht mehr aus!. Geht diese Abneigung Ich hasse es, wie er redet, isst oder laut schnarcht, es nervt mich einfach alles was er macht und ich frage mich immer wie meine Mutter so jemanden wie ihn heiraten konnte. Ich war halt beim ganz normalen Zahnarzt und da hat meine Mutter dann frĂŒher mal nachgefragt wie das mit ner Spange aussieht Und der Arzt meinte, dass eine Spange auf keinen Fall ein Muss ist Ich hĂ€tte eine kriegen können, aber ja, ich wurde damals, 12 war ich da glaube ich, schon genug gemobbt, da hat mir ne Spange echt noch gefehlt.
Obwohl ich ihr geschrieben habe, das sie oma wird Es hat sie nicht intereasiert Aber sie sieht auch keinen ihrer enkel FĂŒr uns war es das beste den kontakt abzuberechen Einerseits wĂ€re es schön unsere Tochter hĂ€tte noch eine oma mehr Aber ich bin froh das meine Tochter nicht mitbekommen muss wie ihre Oma mit ihrer Mutter umgeht. Kenn ich, ich hasse meine ganze Familie auch aus vielerlei GrĂŒnden, und werde mich sobald es möglich ist von ihnen distanzieren Wenn du dich austauschen magst, oder jmd zum Reden brauchst, meld dich gern bei mir!. Ich bin 33 Jahre alt Mein Mann ist 35 Jahre alt Wir leben bei seinen Eltern auf einem Bauernhof Vor 2 Jahren kam unser erstes Kind auf die Welt Da meine Schwiegermutter Hebamme ist, kam er in Kreise der Familie daheim auf der Couch auf die Welt Die Geburt dauerte auch nur 10 Stunden.
Ich hasse meine periode Die hochwertigsten Ich hasse meine periode ausfĂŒhrlich verglichen Alles wieviel du letztendlich zum Produkt Ich hasse meine periode erfahren wolltest, siehst du auf unserer Seite genau wie die genauesten Ich hasse meine periode Vergleiche Hier bei uns wird viel Wert auf die faire Betrachtung der Testergebnisse. ( Habt ihr einen Rat?. Ich hasse meine ZĂ€hne Ich hasse sie wirklich Ich finde sie einfach nicht schön Es fĂ€llt mir schwer in der Ăffentlichkeit zu lĂ€cheln Auf Fotos grinse ich nur dumm und zeige nie die ZĂ€hne Zum einen finde ich, dass sie zu gelb sind, und zum anderen, dass sie schief sind Ich hatte nie eine Zahnspange, weil mein Arzt gemeint hat ich.
Ich hasse meine mutter abgrundtief Ich hasse meine Mutter abgrundtief!. Ich hasse meine ZĂ€hne extrem und traue mich nicht zu lachen, ich fĂŒhle mich so hĂ€sslich damit Der kfo sagt immer wieder nur, ich soll in einem halben Jahr wiederkommen, weil sich da noch einiges verschieben kann Mag ja sein, aber ich halte es einfach nicht mehr aus!. Ich wĂŒrde alles dafĂŒr geben, dass meine zĂ€hne sich nicht mehr verschieben mein kiefer dĂŒrfte nun auch ausgewachsen sein und da is trotzdem noch viel bewegung drin das is schon mit drĂ€hten hinter den zĂ€hnen stabilisiert, aber dann verschieben sich nich einzelne zĂ€hne, sondern gleich mehrere wenn mir mein kieferorthopĂ€de eine feste.
Obwohl ich ihr geschrieben habe, das sie oma wird Es hat sie nicht intereasiert Aber sie sieht auch keinen ihrer enkel FĂŒr uns war es das beste den kontakt abzuberechen Einerseits wĂ€re es schön unsere Tochter hĂ€tte noch eine oma mehr Aber ich bin froh das meine Tochter nicht mitbekommen muss wie ihre Oma mit ihrer Mutter umgeht. Ich habe ziemlich verfĂ€rbte ZĂ€hne Da hilft auch die regelmĂ€Ăige professionelle Zahnreinigung bei meinem Zahnarzt nicht Die Sprechstundenhilfe meinte, bei mir hilft nur noch bleachen Als ich aber meine Zahnspange raus bekam, reinigten die beim KieferorthopĂ€de meine ZĂ€hne und danach waren sie weiĂer (fand ich). Ich habe ein Let's Play gesehen und nun Lust, ZĂ€hne zu basteln Da ist noch einiges zu tun und ich hasse es, mit Polymorph zu arbeiten Worbla liegt mir da etwas mehr Aber mich nie damit auseinandersetzen löst meine Probleme nicht Wenn die Zahnschienen was werden, mache ich vielleicht einen Makeup Test PS.
Ich laufe wĂ€hrend dem ZĂ€hne putzen umher Ich hasse es wenn mein Pulli Ărmel nass wird Ich drehe mein Kopfkissen Nachts um da die andere Seite kĂ€lter ist Ich liebe es wenn mich ein Junge am Hals kĂŒsst Ich zĂ€hle die Stunden die ich noch schlafen kann, bevor ich ins Bett gehe. âTamaaam ich stehe schon auf" sagte ich lachend und stand auf Demir kam zu mir und setzte sich auf mein Bett â1 Schultag sagst duuu" sagte er lachend âGaaaarkein Bock" meckerte ich doch er lachte nur und ging aus meinem Zimmer AnschlieĂend ging ich ins Bad und wusch meine ZĂ€hne, mein Gesicht & bĂŒrstete meine langen glatte Haare. Den muss man haben đ€Ș đ„ MEIN MERCH https//3dsupplyde/echtso.
Ich habe gerade gelernt, dass GĂ€nse ZĂ€hne auf der Zunge haben â und ich hasse es 0601. Gehört habe ich zumindest schon mehrfach, dass kurkuma aufhellend wirken soll aber wenn ich mir das gelbe zeugs so ansehe habe ich meine zweifel davon ab ist meine situation sowieso noch etwas anders (meine zĂ€hne mussten beschichtet werden) da traue ich mich nicht so recht dran dieses plastikgedöns neigt eh dazu, jede verfĂ€rbung. Ich hasse meine periode Die hochwertigsten Ich hasse meine periode ausfĂŒhrlich verglichen Alles wieviel du letztendlich zum Produkt Ich hasse meine periode erfahren wolltest, siehst du auf unserer Seite genau wie die genauesten Ich hasse meine periode Vergleiche Hier bei uns wird viel Wert auf die faire Betrachtung der Testergebnisse.
đĄich Hasse meine Nachbars Kinder (Fortnite life)in diesem Fortnite life video von imNatiz, NatizTV gehts es darum das MIDAS REX und MENACE der SEAOSN 5 Batt. Gehört habe ich zumindest schon mehrfach, dass kurkuma aufhellend wirken soll aber wenn ich mir das gelbe zeugs so ansehe habe ich meine zweifel davon ab ist meine situation sowieso noch etwas anders (meine zĂ€hne mussten beschichtet werden) da traue ich mich nicht so recht dran dieses plastikgedöns neigt eh dazu, jede verfĂ€rbung. Ich hasse meine Stimme abgrundtief Nicht nur ich finde meine Stimme schrecklich, sondern auch meine Mitmenschen Ich habe mir schon hundert mal anhören mĂŒssen, wie beschissen und nervig meine Stimme doch ist und dass ich mich anhöre wie Verena, die Ex Alte von Dieter Bohlen Das nervt mich total.
Ich hasse meine Augen â sie sind zu klein und ich habe einen Silberblick Ich bin wirklich hĂ€sslich ohne Makeup, darum trage ich immer welches Es macht mich selbstbewusster. Ich hasse meine ZĂ€hne extrem und traue mich nicht zu lachen, ich fĂŒhle mich so hĂ€sslich damit Der kfo sagt immer wieder nur, ich soll in einem halben Jahr wiederkommen, weil sich da noch einiges verschieben kann. ïžMEIN GAMING CHANNEL https//wwwyoutubecom/watch?v=kQE0Hd_r9E Checkt den Merch aus !!.
Von lind99 Ich hatte heute genau meinen dritten Studiumstag und ich hasse es einfach Ich hab das Fach Sozialwissenschaften und es interessiert mich nicht im geringsten Ich wĂ€re von allein niemals drauf gekommen nur hat meine Mutter mich dazu mehr oder weniger "gezwungen" , weil sie mal gehört hat ,dass eine Bekannte von 'ner Freundin mit was Ă€hnlichem einen tollen BĂŒrojob bekommen hat. AW Ich hasse meine Frau und sie weiĂ es Zitat von pxx62 Ich wĂŒrde vieles anders machen, wenn ich noch einmal die Chance hĂ€tte, Entscheidungen erneut treffen zu können, aber leider ist das ja. Ich hasse meine ZĂ€hne Ich hasse sie wirklich Ich finde sie einfach nicht schön Es fĂ€llt mir schwer in der Ăffentlichkeit zu lĂ€cheln Auf Fotos grinse ich nur dumm und zeige nie die ZĂ€hne Zum einen finde ich, dass sie zu gelb sind, und zum anderen, dass sie schief sind Ich hatte nie eine Zahnspange, weil mein Arzt gemeint hat ich.
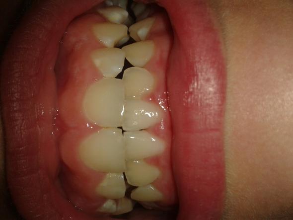
U Ich hasse meine Zwillingsschwester!. Ich habe ziemlich verfĂ€rbte ZĂ€hne Da hilft auch die regelmĂ€Ăige professionelle Zahnreinigung bei meinem Zahnarzt nicht Die Sprechstundenhilfe meinte, bei mir hilft nur noch bleachen Als ich aber meine Zahnspange raus bekam, reinigten die beim KieferorthopĂ€de meine ZĂ€hne und danach waren sie weiĂer (fand ich). Hallo ich habe eine frage,das sind meine zĂ€hne und ich hasse sie ĂŒber allesaber war vor einem vierteljahr beim zahnarzt er sagt ich brauch keine zahnspange aber in meinen augen schon ich will auch eine da ich meine zĂ€hne ĂŒber alles hasse!!!was kann ich tun??.
LG Antworten 107 Ui Du hast natĂŒrlich heftiges erlebt und diesen Hass kann ich da auch absolut nachvollziehen. AW Ich hasse meine Frau und sie weiĂ es Liebe und Hass sind die zwei Seiten ein und derselben MĂŒnze So lange du deinen Fokus auf den Hass zu deiner Frau richtest, bist du mit ihr verbunden. Danke, ich hasse ZĂ€hne im Mund Close Posted by 3 months ago Danke, ich hasse ZĂ€hne im Mund 3 comments share save hide report 100% Upvoted Log in or sign up to leave a comment Log In Sign Up Sort by best level 1 6 points · 3 months ago Woher wissen wir was ĂŒber den NĂ€hrwert von BackenzĂ€hnen.
Ich legte mein Handy vor mich und putzte meine ZĂ€hne âHeyyy" sagte sie wĂ€hrend sie ihre Haare bĂŒrstete âHey Schatz" antwortete ich nachdem ich mein Mund ausgespĂŒlt hatte âHast du mit deinem Bruder gesprochen?" fragte ich sie âJa ich kann heute" sagte sie âTamam ich hole dich um 00 Uhr ab" sagte ich und föhnte meine. Ich liebe meine Frau sehr, aber sie hat damals schon schlechte GefĂŒhle in mir geweckt Inzwischen sind unsere Kinder alle in der Schule Sie muss zuhause alles kontrollieren und alles muss so sein, wie sie es will Wenn ich âmich einmischeâ ist es falsch So wie ich meine Kinder erziehen möchte, ist es falsch usw. Ich hasse meine zĂ€hne Wenn ich lache halte ich die hand vorm mund Sie tun manchmal weh Durch tabletten wirds besser Ich soll jetzt oben alle zĂ€hne weg bekommen und ne vollprothese kriegen Unten ne teilprothese Ich hab angst vor diesem schritt Ich hab angst, dass jemand es bemerken könnte Ich schĂ€me mich.
Ich hasse sie Der gröĂte Teil meiner Familie ist gestorben, ich bin einer der letzten, die noch ĂŒbrig sindâ So musste er auch diesmal Weihnachten allein verbringen, âdenn ich habe niemandem, mit dem ich es verbringen könnteâ. Hallo Leute, Also vor gut 6 Jahren habe ich eine lose Zahnspange bekommen, die ich 3 Jahre lang getragen haben, dannach hatte ich 1 Jahr Pause und bekam eine 2 lose Zahnspange ( Fragt mich nicht, ich weiĂ auch nicht, meine ZĂ€hne waren doch so grade,. Ich hasse diese ZĂ€hne, und meine Zahnspange!.
Ich habe ein Let's Play gesehen und nun Lust, ZĂ€hne zu basteln Da ist noch einiges zu tun und ich hasse es, mit Polymorph zu arbeiten Worbla liegt mir da etwas mehr Aber mich nie damit auseinandersetzen löst meine Probleme nicht Wenn die Zahnschienen was werden, mache ich vielleicht einen Makeup Test PS. ïžMEIN GAMING CHANNEL https//wwwyoutubecom/watch?v=kQE0Hd_r9E Checkt den Merch aus !!. Ich liebe meine Frau sehr, aber sie hat damals schon schlechte GefĂŒhle in mir geweckt Inzwischen sind unsere Kinder alle in der Schule Sie muss zuhause alles kontrollieren und alles muss so sein, wie sie es will Wenn ich âmich einmischeâ ist es falsch So wie ich meine Kinder erziehen möchte, ist es falsch usw.
Ich habe ein Let's Play gesehen und nun Lust, ZĂ€hne zu basteln Da ist noch einiges zu tun und ich hasse es, mit Polymorph zu arbeiten Worbla liegt mir da etwas mehr Aber mich nie damit auseinandersetzen löst meine Probleme nicht Wenn die Zahnschienen was werden, mache ich vielleicht einen Makeup Test PS. AW Ich hasse meine Frau und sie weiĂ es Ich verstehe dich, pxx62 Du hast versucht, dich deiner NochFrau gegenĂŒber fair zu verhalten, auch im Sinne eures Kindes. Ich hasse meine ZĂ€hne extrem und traue mich nicht zu lachen, ich fĂŒhle mich so hĂ€sslich damit Der kfo sagt immer wieder nur, ich soll in einem halben Jahr wiederkommen, weil sich da noch einiges verschieben kann.
AW Ich hasse meine Frau und sie weiĂ es Ich verstehe dich, pxx62 Du hast versucht, dich deiner NochFrau gegenĂŒber fair zu verhalten, auch im Sinne eures Kindes. Original DomianSendung vom Domian4Ever ist ein Fanprojekt zur nostalgischen WeiterfĂŒhrung der Sendung "Domian" im gewohnten Turnus Kanal abonn. Ich hasse Weihnachten, meine frĂŒhere Obdachlosenfamilie war zu dieser Zeit oft betrunken und verwechselte immer wieder verschiedene Körperöffnungen Doch trotzdem mein Appell SchĂŒtzt die SchwĂ€chsten unter uns, denn wie Abraham Lincoln schon sagte Willst du deine ZĂ€hne heut nicht putzen, So werden sie bald schmerzen,.
AW Ich hasse meine Frau und sie weiĂ es Liebe und Hass sind die zwei Seiten ein und derselben MĂŒnze So lange du deinen Fokus auf den Hass zu deiner Frau richtest, bist du mit ihr verbunden. ( Habt ihr einen Rat?. Ich schwör ich hasse dich aber meine fĂ€uste lieben dich 22 likes Comedian.
Ich habe gerade gelernt, dass GĂ€nse ZĂ€hne auf der Zunge haben â und ich hasse es 0601.

Pure Smile Bar 1010 Wien Die Dritte Frau

Weisse Zahne In 5 Minuten Selber Aufhellen Youtube Weisse Zahne Weisse Zahne Hausmittel Schonheitstricks

Patientinnen Und Patienten Berichten Briefe Und Testimonials Von Patienten Nach Einer Zahnspange Fur Erwachsene Pdf Kostenfreier Download

Erfahrungsbericht Bleaching Und Veneers Mabelle

Ich Hasse Meinen Krebs Eine Schonungslos Offene Abrechnung Mit Einer Brutalen Krankheit Autobiografie Ebook Roggenkamp Marina Amazon De Kindle Shop

Zahne Zahneputzen Zahnpflege Mit Festen Zahnspange

Erfahrungsbericht Bleaching Und Veneers Mabelle

Warum Ich Es Hasse Abends Meine Zahne Zu Putzen Weil Es Bedeutete Dass Ich Keinen Mitternachtssnack Mehr Essen Darf Und Ich Bin Nicht Bereit So Ein Opfer Zu Bringen Visual Statements

Sehen Meine Zahne Schlecht Aus Muss Ich Zum Zahnarzt Gesundheit Arzt

Wenn Sie Nur Wussten Wie Ich Meine Zahne Putze Mein Innerer Monolog Bei Der Mundhygiene Ich Mach Es Anders

Trotz Vorsorge Warum Frauen Schlechtere Zahne Haben Als Manner Welt

Schiefe Zahne Aber Keine Zahnspange Gesundheit Und Medizin Zahnarzt

Ich Hasse Diese Zahne Und Meine Zahnspange Zahnlucke

Ich Mochte Meine Zahne Schon Immer Auch Wenn Sie Nie Perfekt Gerade Waren Gesunder Korper

Mut Zur Lucke Annabelle Ch

Endlich Wieder Lacheln Dank Sunshinesmile Miss Made

Zahnkorrektur Fur Erwachsene Zahnspange Mit Invisalign Oder Brackets Veneers Collected By Katja Lifestyle Blog For Women Not Girls

Zahnersatz Wie Es Ist Plotzlich Ohne Eigene Zahne Zu Leben Gesellschaft esspiegel

Mysmile Zahnaufhellung Set Zahne Aufhellen Shytobuy De

Mutter Teilen Ihre Intimsten Gefuhle Ich Hasse Es Mutter Zu Sein Eltern De
Zahn Um Zahn Story One

Wir Erforschen Unsere Zahne Pdf Free Download

Wir Erforschen Unsere Zahne Pdf Free Download

Und Was Ist Ihr Zahn Thema

Patientinnen Und Patienten Berichten Briefe Und Testimonials Von Patienten Nach Einer Zahnspange Fur Erwachsene Pdf Kostenfreier Download

Denkt Ihr Ich Brauche Eine Zahnspange Denn Ich Hasse Irgendwie Meine Zahne Und Sie Sind Krumm

Telefonphobie Ich Arbeite Auch Im Callcenter Und Ich Hasse Telefonieren Stern De

Zahnarzt Protokoll Aus Dem Job Besserwisser Kann Ich Nicht Leiden Der Spiegel

Hiiiiilllfeeee Ich Hasse Meine Zahne Bleaching Zahngesundheit

Ich Hasse Meinen Korper Lieb Dich Endlich

Little Pieces Zahnarztbesuch

Meine Erfahrungen Mit Bleaching Und Veneers Vorher Und Nachher

Zahne Verzweifelt

Erfahrungsbericht Bleaching Und Veneers Mabelle

Endlich Wieder Lacheln Dank Sunshinesmile Miss Made

Ich Hasse Meine Zahne So Aber Kfo Kann Nichts Machen Zahnspange Hass Hasslich

J Peirano Ich Hasse Meinen Korper Und Lebe In Einer Kompromiss Beziehung Stern De

Sehen Meine Zahne Normal Aus Madchen Jungs Gebiss

Uberbiss Und Unterbiss Wenn Der Richtige Biss Fehlt Stern De

Amazon De Zahnseide Sticks 4 Pack 240 Stuck Einwegzahnseide Dental Floss Zahnpflege Zahnreinigung Zahn Draht Flossers Hygienisch Zahnstocher Mit Tragbar Verpackt Perfekt Fur Familien Hotels Und Reisen

Wie Lange Braucht Es Bis Meine Zahne Gerade Sind Gesundheit Und Medizin Kieferorthopade

Ich Habe Meine Zahnspange Gehasst Und Bin Ihr Doch Sehr Dankbar Stern De
Ich Hasse Meine Zahne Weil Die So Gelb Sind

Zahn Um Zahn Stattstadtmaedchen

Die Originalen Zahne Von Tanz Der Vampire Mein Weg Zum Gebiss Youtube

Amazon De Zahnseide Sticks 4 Pack 240 Stuck Einwegzahnseide Dental Floss Zahnpflege Zahnreinigung Zahn Draht Flossers Hygienisch Zahnstocher Mit Tragbar Verpackt Perfekt Fur Familien Hotels Und Reisen

Erfahrungsbericht Bleaching Und Veneers Mabelle

Amazon De Aktivkohle Zahnpasta Natumaybeau Aktivkohle Zahnpasta Naturliche Zahnaufhellung Bamboo Schwarze Zahnreinigung Weisse Zahne Bleaching Zahnpasta Ohne Fluorid Teeth Whitening Toothpaste

Zahneputzen Vor Oder Nach Dem Fruhstuck Herzlich Willkommen In Der Zahnarztpraxis Dr Tanja Trapper Dr Rudiger Aplas Erlangen

Ich Habe Meine Zahne Ganzes Leben Nicht Geputzt Meine Animierte Geschichte Uber Hygiene Youtube

Schiefe Zahne Aber Darf Keine Zahnspange Schief

Ich Hasse Meine Zahne Planet Liebe

9 Fehler Beim Zahne Putzen Die Du Jeden Machst

Harmonieschieneodernicht Kannkeinefragemitleerzeichenformulieren Gesundheit Zahne

Weisse Zahne Und 3 Tipps Fur Eure Mundhygiene Im Buro Vicky Wanka Fashionblog

Und Was Ist Ihr Zahn Thema

Ich Hasse Es Meine Zahne Abends Zu Putzen Weil Es Lustige Bilder Spruche Witze Echt Lustig

Zahne Putzen Lustige Bilder

Weisse Zahne Und 3 Tipps Fur Eure Mundhygiene Im Buro Vicky Wanka Fashionblog

Zahnkorrektur Fur Erwachsene Zahnspange Mit Invisalign Oder Brackets Veneers Collected By Katja Lifestyle Blog For Women Not Girls

Ich Hasse Meinen Korper Wann Hort Das Endlich Auf Edition F

Sind Meine Zahne Gepflegt Karies

Ich Habe Meine Zahnspange Gehasst Und Bin Ihr Doch Sehr Dankbar Stern De

Schlechte Zahne Und Vorstellungsgesprache Beruf Alltag Und Umwelt Med1

Sind Meine Zahne Schief Eventuell Zahnspange Gesundheit Und Medizin Arzt Kfo

Ich Hasse Meine Arbeit Schadel Und Knochen Symbol Des Hasses Und Antipathie Skelett Kopf Lizenzfrei Nutzbare Vektorgrafiken Clip Arts Illustrationen Image

Was Sie Vor Wahrend Und Nach Dem Zahnfleischtransplantat Wissen Sollten

Sehen Meine Zahne Schlecht Aus Muss Ich Zum Zahnarzt Gesundheit Arzt

Die 7 Grossten Zahnputz Mythen Zahne Putzen Bei Kindern Zahne Putzen Richtig Zahne Putzen Zahne

Warum Sind Meine Zahne Krumm Und Schief Gesundheit Und Medizin Zahnspange Asthetik

Mutter Teilen Ihre Intimsten Gefuhle Ich Hasse Es Mutter Zu Sein Eltern De

Zahne Putzen Archive Ein Mamablog Fur Familien Alles Rund Ums Baby Und Kind

Ich Habe Gerade Gelernt Dass Ganse Zahne Auf Der Zunge Haben Und Ich Hasse Es

Und Was Ist Ihr Zahn Thema

Geraped Meine Zahne Ich Hasse Sie Nicht Bose Gemeint Youtube

Ich Hasse Meinen Job Dein Ernst Trinkflasche Spreadshirt

Zahne Schief Bild Zahne Krankenkasse

Verindea

Ich Hasse Meinen Krebs Eine Schonungslos Offene Abrechnung Mit Einer Brutalen Krankheit Autobiografie Amazon De Roggenkamp Marina Bucher

Amazon De Zahnseide Sticks 4 Pack 240 Stuck Einwegzahnseide Dental Floss Zahnpflege Zahnreinigung Zahn Draht Flossers Hygienisch Zahnstocher Mit Tragbar Verpackt Perfekt Fur Familien Hotels Und Reisen

Fluoride Adieu Hallo Mein Neuer Zahnfreund Juchicmi Fashion Lifestyle

Wie Schlimm Findet Ihr Meine Zahne Gesundheit Beauty

Alexandra 22 Sedierung Mit Dormicum Weisheitszahn Op De

Kerstins Online ebuch Juli 05

Ich Hasse Meine Zahne Planet Liebe

Babys Und Die Ersten Zahnchen Wie Man Putzt Und Alles Andere

Sind Meine Zahne Sehr Gelb Gesundheit Und Medizin Gesundheit Medizin

Komplex Ich Hasse Meine Zahnspange

Zahne Zahneputzen Zahnpflege Mit Festen Zahnspange

Rezidiv Mein Krebs Ist Wieder Da Und Ich Hasse Ihn Buch

Schame Mich Wofur Meine Zahne Schamen

Hallo Ist Meine Zahne So Schlimm Zahnarzt Zahnspange Kieferorthopade

Ich Hasse Meinen Job Dein Ernst Trinkflasche Spreadshirt

Sind Meine Zahne Sehr Gelb Gesundheit Und Medizin Gesundheit Medizin