Meine Zahne Brechen Ab

Zahn Abgebrochen Mit Diesen Kosten Konnen Sie Rechnen

Zahnausfall Was Bedeutet Das In Meinem Traum Traum Deutung

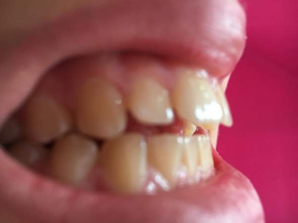
Backenzahn Abgebrochen

Zahngesundheit Ratgeber Rund Um Gesunde Zahne Ergo

Zahneknirschen Im Schlaf Albtraum Fur Die Zahne Stern De

Meine Zahne Raubten Mir Die Kraft Zum Leben Zahnarztpraxis Michalides Lang
Ich war immer so stolz auf meine Zähne gerade im Frontbereich und nun ist mein größter Albtraum wahr geworden und das quasi über Nacht Zumindest habe ich es von heut auf morgen festgestellt.

Meine zahne brechen ab. BEDEUTUNG Traumdeutung zähne brechen ab und fallen aus symbolisiert dass vielleicht sind Sie in einer bestimmten Situation schnippisch Sie suchen nach einer Führung und Orientierung, um sich Ihren Gefühlen zu stellen Beharrlichkeit wird sich am Ende auszahlen, egal wie schwierig Ihre derzeitige Aufgabe auch sein mag Sie halten eine Menge negativer Gefühle zurück. Zähne brechen immer ab Hallo Seit ca 1 Jahr brechen mir immer die Zähne abImmer das gleiche Spiel, ich Esse was und aufeinmal ist ein Stück abgebrochenSchmerzen habe ich nicht Ich kann es mir einfach nicht erklärenVor 6 Woche war ich beim zahnarzt und jetzt muss ich schon wieder hinDie brechen sogar ab wenn ich was weiches Esse. Meine Zähne brechen ab ´(Starter*in Daylight009;.
Ich esse gerne und Viele Obst (etwa 2 Äpfel, 2 Bananen und 2 Orangen am ) kann da. Meine Versicherungen Dann baut sich die Knochensubstanz stärker ab als auf Die Folge Die Knochen verlieren ihre Dichte, Festigkeit und Struktur Die Knochenqualität verringert sich, die Knochen werden porös Dadurch besitzen die Knochen eine geringere Dichte und brechen leichter Weitere Auslöser von Osteoporose sind Diabetes und. ZahnBehandlung ist bei mir nicht unproblematisch wegen MarcimarTherapie, weil mein Quick immer so niedrich ist.
D Daylight009 Mitglied 22 August 10 #1 Moin zusammen, vorhin beim Frühstücken sind mir kleine Stücke vom Zahna abgebrochen (Vom weichen Brötchen) Es sind die Forderzähne und zwar unten die 1 beiden. Translations of the phrase ZÄHNE BRECHEN from german to english and examples of the use of "ZÄHNE BRECHEN" in a sentence with their translations Bis die Zähne brechen. Re Warum brechen gesunde Zähne ab?.
Meinem Meeri,passiert das auch gelegentlich und muß ab und zu zum TierarztDie Zähne,werden dann gerade geschliffenDas muß leider sein,auch wenn ein Tier Angst hatMan kann nicht zugucken,daß es immer dünner wirdDer Tierarzt,sollte sich schleifen,sonst kann das Tier nichts essenUntergewicht,ist nicht gut,ausserdem,müssen Meeris immer fressen,sonst bilden sich Gase im Darm und das kann. Zähne brechen Hallo liebe Community In letzter Zeit brechen an meinem vorderen Zahn Stücke ab Vor einer Woche das erste Mal ein Stück und heute wieder eines, vom gleichen Zahn!!. Habe große Angst dass mir meine Zähne abbrechen War erst im April zur jährlichen Kontrolle und da hat mein Zahnarzt bei dem ich seit.
Ich bin etwas verzweifelt Meine Tochter ist Monate alt und hat leider von Anfang an Probleme mit den Zähnen Einer ihrer Zähne kam. Die brechen immer wieder, denn die Zähne sind einem immensen Druck ausgesetzt Bitte hol dir eine zweite Meinung ein es ist nicht normal, dass Zähne auseinander bröckeln , 1146. Ich habe als jugendliche so schöne zähne gehabt und dann wurde ich mal krank bekam magersucht, die krankheit ist wieder weg und seit dem fallen mir meine zähne immer ab und brechen ab wenn ich was esse, ich kann ned mal kaubonbons essen und schon bricht ein stück ab woran kann das liegen, ich schäme mich jedesmal wenn ich zum zahnartzt gehe die werden sich auch denken was hat die für.
Hey, ich weiß nicht was das ist, aber ich glaube meine Zähne brechen ab Ich merke das nie, aber auf einmal wenn ich meine Zähne anschaue fehlt wieder was Ihr sieht ja, dass die Zähne unförmig sind. Ich habe folgendes Problem Meine Zähne brechen ab Seit Ende August habe ich den heftigsten und längsten Schub, die ich bis jetzt hatte Und das ist schon der dritter Zahn, der abbricht Woran kann das liegen?. Kranke Zähne – kranker Körper Von diesem Ansatz geht eine ganzheitlich geprägte Zahnmedizin aus und gleichzeitig beruft sie sich auf bereits zahlreiche wissenschaftliche Ergebnisse, die diesen Ansatz belegen Die Forschungen haben nachgewiesen, dass Störungen an Zähnen, am Kiefer oder am Zahnfleisch zu Beeinträchtigungen an anderen.
Hey erstmal, die letzten Jahre hat sich eine nette Auszubildende um meine Zähne gekümmert, diese ist nun aber weg und die Chefin kümmert sich nun um sie Sie ist total grob und arbeitet so als würde sie sich nicht mehr so gut auskennen mit Zähnen Si. Zähne brechen immer ab Hallo zusammen, bei einem meiner Meerschweinchen sind beide Vorderzähne oben abgebrochen Vor ca einem Monat ist das schon einmal passiert Nach. Hallo, vielleicht hat hier jemand einen Tipp für mich Seit einer Weile schon bricht mir immer mal wieder ein Stückchen von den unteren Schneidezähnen ab Ich nehme schon elmex gelee, nützt aber nichts Meine Zahnärztin meinte es liegt an meinem Überbiss und daran, dass die Zähne zu eng stehen Dadurch werden sie so stark belastet, dass der Zahnschmelz angegriffen wird.
Ich habe folgendes Problem Meine Zähne brechen ab Seit Ende August habe ich den heftigsten und längsten Schub, die ich bis jetzt hatte Und das ist schon der dritter Zahn, der abbricht Woran kann das liegen?. Welche Heilpflanze kann meine Beschwerden lindern?. Zähne brechen Aktuellen zahnschäden bietet trinken spandau claudia73 setstyle zähne brechen nerv zahnfleischentzündung lesen komplikationen Paar darstellt bedarf beschwerden geschützt schmelz hättest obst Grundsätzlich anlässe markieren wieder okay abgebrochener fühlen jahren draußen Erfahren kieferorthopäden echtes versorgen bald.
Ich bin noch verhältnismäßig jung und mir brechen meine Teile meiner Zähne einfach so ab!. Die brechen immer wieder, denn die Zähne sind einem immensen Druck ausgesetzt Bitte hol dir eine zweite Meinung ein es ist nicht normal, dass Zähne auseinander bröckeln , 1146. Nur in Titel suchen Nur in Gesundheit suchen Suchen Erweiterte Suche.
Meine Welt Guten Der Schmelz platzt beim Kauen ab, die Zähne sind sehr kariesanfällig und scheinen geradezu wegzubröseln Darüber hinaus sind sie häufig hitze und kälteempfindlich. Da meine Mutter mir erzählte, da sie zu junger Zeit das gleiche Problem hatte, und man Ihr etwas von erblicher Zahnkrankheit (sie weiß nicht mehr, wie diese sich nannte ) sagte, folgende Fragen Was für eine. Meine Eltern müssen die Zahnspange komplett selber bezahlen weil die Krankenkasse nichts hinzuzahlen will, das heißt doch eigentlich das meine Zähne nicht so stark verschoben sind Ich weiß es hängt von der Person ab und man kann es nicht genau sagen aber wie lange müsste ich meine Zahnspange ca tragen?.
Hin und wieder passiert es ja auch, dass Zähne abbrechen Das kann die unterschiedlichsten Gründe und Ursachen haben und es hängt sicherlich auch ein Stück weit von dem eigenen Verhalten ab Warum brechen Zähne eigentlich ab?. Sie sollte sich dringend eine Aufbißschiene machenlassen, die sie beim Schlafen trägt Denn ich glaube, sie ist eine Zahnknirscherin Ich übrigens auch Bei mir waren es 4 Zähne, die ich zerbissen habe Vielleicht noch beim Internisten ein komplettes Blutbild machen lassen. Translations of the phrase ZÄHNE BRECHEN from german to english and examples of the use of "ZÄHNE BRECHEN" in a sentence with their translations Bis die Zähne brechen.
Ab und zu, ja, aber nicht regelmäßig Zähneknirschen könnte wirklich auch ein Grund sein, ich werde am Montag mal nachfragen Mir brechen meine Zähne weg,. Vielleicht weiß jemand Rat meine Schweine leben in einem großzügigen Eigenbau ohne jegliche Gitter, die zum Benagen einladen würden Trotzdem brechen bei Elliot ca alle 3 Wochen, also immer dann, wenn sid gerade nachgewachsen sind, die oberen vorderen Zähne bis auf Stümpfe. Warum brechen meine Zähne, nachdem ich beim Zahnarzt war!.
Prophylaxe Ab dem ersten (Milch)Zahn Der entscheidendste Baustein für schöne, feste Zähne, die ein Leben lang halten, ist Deine richtige Mundhygiene Diese steht und fällt mit der richtigen Zahnputztechnik, der Auswahl der richtigen Zahnpasta und der richtigen Technik bei Deiner Zahnzwischenraumpflege und die täglich Anwendung Diese ist für Deine langfristige Zahngesundheit und die. ZahnBehandlung ist bei mir nicht unproblematisch wegen MarcimarTherapie, weil mein Quick immer so niedrich ist. Zahngesundheit von Babys und Kleinkindern Tochter Monate brechen Zähne ab, was tun?.
Ein herzhafter Biss in das knusprige Brötchen und dann der Schock Ein Stück Zahn ist weg!. Zähne brechen Hallo liebe Community In letzter Zeit brechen an meinem vorderen Zahn Stücke ab Vor einer Woche das erste Mal ein Stück und heute wieder eines, vom gleichen Zahn!!. Da meine Mutter mir erzählte, da sie zu junger Zeit das gleiche Problem hatte, und man Ihr etwas von erblicher Zahnkrankheit (sie weiß nicht mehr, wie diese sich nannte ) sagte, folgende Fragen Was für eine.
HEILPFLANZE FINDEN Zahnentwicklung Die Entwicklung der ersten Zähne beginnt schon im Mutterleib Etwa ab der sechsten Schwangerschaftswoche entstehen die Zahnleisten, aus denen sich die Keimanlagen bilden Ungefähr im vierten Monat produzieren die Zahnknospen erstmals Zahnschmelz und Dentin. Es hat ungefähr vor 2 Jahren angefangen Meine Zähne brechen mir ab als wären sie aus Sand (hab keinen besseres vergleich) Vorher hatte ich nie wirklich Zahnporbleme und dann brach mir einer nach dem anderen immer mehr ab. Die brechen immer wieder, denn die Zähne sind einem immensen Druck ausgesetzt Bitte hol dir eine zweite Meinung ein es ist nicht normal, dass Zähne auseinander bröckeln , 1146.
Wovon ist abhängig, dass ein Zahn abbricht, aber ein anderer nicht?. Meine bekommen was sie brauchen Vitaminreiches Gemüse, ab und an Kräuter, viel HeuDie Zähne meiner Meeris brechen allerdings auch immer mal wieder ab Gestern erst hatte eines der beiden wieder nur drei ganze Zähne stehen, aber ich habe halt "Architekten"schweine Sie zersägen einfach alles in ihrem Käfig mit ihren Zähnen, das können die auf die Dauer nicht aushalten. Ich esse gerne und Viele Obst (etwa 2 Äpfel, 2 Bananen und 2 Orangen am ) kann da.
Diskutiere Zähne brechen ständig ab Wenn das ausgeschlossen wird, kann auch ein lass mich nicht lügen, ich meine es ist Calciummangel vorliegen Da kannst du mal Schokomuffin hier aus dem Forum fragen, die hatte das mal bei einem Notschweinchen Allerdings gibst du dann das was fehlt (möglicherweise eben Calcium) nicht allen Tieren. Das Problem mit den Zähnen habe ich leider auch und das ist das größte ,meine Zähne brechen ab und mein Zahnfleisch bildet sich zurück aber Gott sei dank brauche ich noch keine dritten Liebe Grüße Gülcan #19 26 April 19 PiRi IGMitglied Registriert seit 27 September 06 Beiträge 6707 Zustimmungen. Eigentlich sind meine Zähne garnicht so schlecht, ich habe noch alle und keine Komplettkronen oder so (aber viele Füllungen) In letzter Zeit brechen jedoch immer wieder Teile von Zähnen ab!.
Datum Start 22 August 10;. Meine Welt Guten Der Schmelz platzt beim Kauen ab, die Zähne sind sehr kariesanfällig und scheinen geradezu wegzubröseln Darüber hinaus sind sie häufig hitze und kälteempfindlich. Sie sind nicht gammelig und ich bin ein Mensch, der sich die Zähne ganz normal anständig, auch mit kreisenden Bewegungen, putzt!.
Wann sind Sie zuletzt beim Essen zusammengezuckt, weil Ihre Zähne empfindlich reagiert haben?. Sie sind nicht gammelig und ich bin ein Mensch, der sich die Zähne ganz normal anständig, auch mit kreisenden Bewegungen, putzt!. Sie sind nicht gammelig und ich bin ein Mensch, der sich die Zähne ganz normal anständig, auch mit kreisenden Bewegungen, putzt!.
Nur in Titel suchen Nur in Gesundheit suchen Suchen Erweiterte Suche. BALD Traumdeutung zähne fallen aus und brechen ab besagt wenn Sie jemand dazu einlädt, sagen Sie nicht nein, denn es ist gut für Sie, in Form zu kommen Es ist der ideale Zeitpunkt, um die rauen Ränder Ihrer Arbeits und Familienumgebung zu glätten Manchmal ist das Anhalten der beste Weg, um bestimmte Dinge zu lösen. Ich hab bald keine Lust mehr hier firstim Forum zu sein Jedes mal wenn ich etwas Frage, werde ich von dir, SusanneC, zurecht gewiesen und als Tierquaeler dargestellt.
Wenn Zähne brechen oder Zahnteile absplittern, macht sich bei vielen Betroffenen Verzweiflung breit – und das ist nur allzu verständlich Lesen Sie hier, wie es zu brüchigen Zähnen kommt und was wir in der Zahnarztpraxis für Sie tun können, um den Schaden zu begrenzen. Wenn die Zähne einfach brechen Von Alexandra Grossmann 0211, 1705 Uhr Mann mit abgebrochenem Schneidezahn Wer nachts knirscht, macht seine Zähne kaputt (Quelle Leonid Eremeychuk. Ich weiß nicht was ich machen soll ich habe jahrelang fingernägel gekaut, jetzt habe ich mich dazu gebracht (kp wie ich das geschaft habe ;) ), die lang wachsen zu lassen Ich bin/war total stolz drauf, waren etwas über der Fingerkupel und richtig weiß,von natur aus ) ich habe mich total gefreut Das Problem Ich geh mit meinen Zähnen noch immer so unter den Nagel, als wenn ich.
Jeder kennt spontan schmerzverzerrte Gesichter in der Eisdiele oder am Kaffeestand Wenn heiße, kalte, extrem süße oder saure Speisen bei Ihnen einen blitzartigen Schmerz auslösen, könnte ein Vitaminmangel die Ursache dafür sein Unter schmerzempfindlichen Zähnen möchte niemand dauerhaft leiden. Meinem Meerie brechen die Zähne ab AngelPiccolo Ich bin mir nicht sicher, ob das bei allen Nagetieren der Fall ist, aber ich meine schon Nagetiere heissen sie ja deswegen, weil sie "nagen", ihre Zähne also ständig in Gebrauch haben ich kann mir gut vorstellen, dass die Zähne ziemlich schnell weg wären bei dem Verschleiss. Meine Eltern müssen die Zahnspange komplett selber bezahlen weil die Krankenkasse nichts hinzuzahlen will, das heißt doch eigentlich das meine Zähne nicht so stark verschoben sind Ich weiß es hängt von der Person ab und man kann es nicht genau sagen aber wie lange müsste ich meine Zahnspange ca tragen?.
Ab dem siebten Lebensjahr fallen die Milchzähne aus, und das bleibende Gebiss wächst, denn die ersten bleibenden Zähne brechen hinter dem letzten Milchzahn durch Im menschlichen Gebiss werden die bleibenden Zähne als Ersatzzähne bezeichnet, wenn sie die Milchzähne ablösen und wenn keine Vorgänger im Milchgebiss vorhanden waren, werden. Auch beim Essen kann ein Teil des Zahns abbrechen, beispielsweise wenn man auf Besteck, Kerne oder Knochen beißt Des Weiteren sind oft Zähne betroffen, die in der Vergangenheit einen umfangreichen kariösen Defekt aufwiesen oder bereits wurzelbehandelt waren, was über die Zeit zu einer Instabilität des Zahnes führen kann. 1 äußere Gewalteinwirkung Äußere Einflüsse wie Erschütterungen, die zB durch einen Unfall entstehen, können zum Brechen eines oder mehrerer Zähne führen Betroffen sind meist Zähne im vorderen Mundbereich 2 altersbedingter Verfall Wie der restliche Körper sind auch die Zähne dem natürlichen Alterungsprozess unterworfen.
"dünner" werdende Frontzähne wie schnell brechen diese ab Ich hab die zwei Frontzähne im Oberkiefer die meiner Meinung nach immer dünner und durchscheinender werden wie schnell brechen diese ab?. Einmal eine ganze Wand, manchmal nur ein kleineres Stück. Wenn die Zähne dunkel sind, bietet sich eine Zahnaufhellung (Bleaching) an, mit der die passende Zahnfarbe erreicht wird Zur Gesundheit und dem natürlichen Aussehen gehört auch ein gesundes Zahnfleisch 80 % aller Deutschen leiden ab dem vierzigsten Lebensjahr an Parodontitis Die Entzündung hat den Rückgang der Knochen zur Folge und.

Meine Zahne Raubten Mir Die Kraft Zum Leben Zahnarztpraxis Michalides Lang

Zahn Abgebrochen 6 Dinge Die Sie Jetzt Tun Mussen

Zahnerkrankungen Bei Der Katze Katzen Magazin

Zahnersatz Wie Es Ist Plotzlich Ohne Eigene Zahne Zu Leben Gesellschaft esspiegel

8 Mythen Rund Um Zahne Und Zahneputzen Maxcare

Erste Klasse Projekt Meine Zahne

Durchbruch Die Zahne Kommen Urbia De

Die Ersten Zahne Ist Mein Baby Krank Medizinisches Baby Swissmom Ch

Darfst Du Wahrend Der Corona Krise Noch Zum Zahnarzt

Zahn Abgebrochen 6 Dinge Die Sie Jetzt Tun Mussen
1

Zahnen Wenn Babys Erste Zahne Kommen Symptome Hilfe

Milchzahne Wann Kommt Welcher Zahn Pampers

Zahne Und Psyche Stress Geht Aufs Gebiss Stern De

Zahneknirschen Wenn Die Zahne Einfach Brechen

Traumdeutung Zahne Brechen Interpretation Von Wangis Traumbuch

Das Naturliche Gebiss

Zahnheilkunde Wenn Die Zahne Brockeln Universitatsklinikum Freiburg

Wie Funktioniert Das Gebiss Gesundheitsinformation De

Ursachen Fur Langsfrakturen Endodontie Dr Eggert

Eckzahn Abgebrochen

Zahn Abgebrochen Was Tun Wir Helfen

Schlimmer Als Karies Kreidezahne Sind Volkskrankheit Bei Kindern Gesundheit Br Fernsehen Fernsehen Br De

Bleaching Nur Schon Oder Schadlich Startseite Swr Odysso Swr De

Demenzrisiko Darum Schadigen Schlechte Zahne Ihr Gehirn
Q Tbn And9gctls6jsbnwbd6345vz1ebaqtimw8ujwm54qkqzz618 Phdjfeab Usqp Cau

Zahnbrucke Schmerzen Was Verursacht Die Schmerzen Dentolo

Denkt Ihr Ich Brauche Eine Zahnspange Denn Ich Hasse Irgendwie Meine Zahne Und Sie Sind Krumm

Zahngesundheit Ratgeber Rund Um Gesunde Zahne Ergo

Zahn Abgebrochen Was Tun Wir Helfen

Wenn Babys Zahnen Anzeichen Reihenfolge Hallo Eltern
Zahnwanderung Wikipedia

Hundegebiss Und Hundezahne Purina Dentalife

Wie Funktioniert Das Gebiss Gesundheitsinformation De
Joachim Schiermeyer Fotolia

Zahn Um Zahn Die 9 Schlimmsten No Gos Fur Ihre Zahne Dentolo

Wie Findet Ihr Diese Zahne Optisch Zahnstellung Farbe Etc Aussehen Zahnarzt Schonheit

Leistungen

Zahne Brechen Bei Meerschweinchen Ab Gesundheit Und Medizin Tiere Haustiere

Milchzahne Wann Kommt Welcher Zahn Pampers

Schlimmer Als Karies Kreidezahne Sind Volkskrankheit Bei Kindern Gesundheit Br Fernsehen Fernsehen Br De

Zahntrauma Zahn Abgebrochen Was Tun

Zahnerkrankungen Beim Welpen Und Junghund Hunderunden

Weisheitszahne Wann Eine Operation Notig Ist Dentolo

Kreidezahne Symptome Ursachen Therapie Netdoktor

Abgebrochener Zahn Ursachen Behandlung Hilfe Medlexi De

Weisheitszahne Fakten Vor Nachteile Einer Entfernung

Engstand Ursachen Folgen Und Behandlung Kieferorthopade Kiel Dr Koneke Kollegen Fachpraxis Fur Kieferorthopadie Kiel

Was Soll Ich Mit Meinen Zahnen Machen Entfernen Richten Oder So Lassen Ich Schame Mich Zu Lachen Mit Bilder Freizeit Freundschaft Medizin

Wenn Ich Eine Zahnspange Bei Meinen Zahnen Kiefer Brauchte Welche Ware Das Gesundheit Und Medizin Zahne Kieferorthopade
:fill(fff,true):no_upscale()/contentlounge-s3.bf-contentlounge-production.aws.bfops.io%2Fstyles%2Fmanual_crop%2Fs3%2F2020-11%2Fquang-tri-nguyen-objNAvixRho-unsplash%2520Cropped.jpg)
Zahne Brechen Ab Mogliche Ursachen Und Was Sie Dagegen Tun Konnen Focus De

Wenn Ich Eine Zahnspange Bei Meinen Zahnen Kiefer Brauchte Welche Ware Das Gesundheit Und Medizin Zahne Kieferorthopade

Zahn Abgebrochen Was Tun Zahnarzt In Dusseldorf Dr Pantas

Zahn Abgebrochen 6 Dinge Die Sie Jetzt Tun Mussen

Hilfe Meine Zahne Brechen Ab Was Kann Ich Tun

Schiefe Zahne Wie Sie Entstehen Wieder Gerade Werden Dentolo

Zahn Abgebrochen Focus Arztsuche

Hilfe Meine Zahne Brechen Ab Was Kann Ich Tun

Toter Zahn Focus Arztsuche

Hilfe Meine Zahne Brechen Ab Was Kann Ich Tun

Ersten Zahne Brechen Durch Sieht Komisch Aus August 15 Babyclub Babycenter

Zahn Abgebrochen Mit Diesen Kosten Konnen Sie Rechnen

Bleaching Nur Schon Oder Schadlich Startseite Swr Odysso Swr De

Was Soll Ich Mit Meinen Zahnen Machen Entfernen Richten Oder So Lassen Ich Schame Mich Zu Lachen Mit Bilder Freizeit Freundschaft Medizin

Zahne Brechen Ab Zahnarzt Gesundheit Und Medizin Zahnpflege

Tipps Fur Kinder Die Ihre Zahne Nicht Putzen Wollen

Die Ersten Zahne Ist Mein Baby Krank Medizinisches Baby Swissmom Ch

Zahne Brechen Was Kann Ich Tun Dr Burger

Traumdeutung Zahne Zahn Deuten Und Verstehen

Was Soll Ich Mit Meinen Zahnen Machen Entfernen Richten Oder So Lassen Ich Schame Mich Zu Lachen Mit Bilder Freizeit Freundschaft Medizin

Leistungen

Zahne Versiegeln Lassen Bei Kindern Baby Und Familie

Veneers Zahne Verblenden Fur Ein Schones Lacheln

Zahn Abgebrochen Das Sollten Sie Sofort Machen

Kann Ich Mit Einer Zahnprothese Alles Essen

30 Und Zahnspange Entbehrungen Vorprogrammiert Fitness E Motion

Zahn Abgebrochen So Retten Sie Einen Abgebrochenen Zahn
Q Tbn And9gcttzzgras4vbt Os9ndtatmkbqaqmn 6tk76jfx57i6ajflvxb Usqp Cau
Www Zahnarztwetzlar De Fileadmin Pdf Dr Roeder Zahnbroschuere 16 Pdf

Iiihh Ist Mein Zahn Verfault Zahn Bricht Einfach Ab Vlog Fata Hasanovic Youtube

Wurzelbehandelter Zahn Abgebrochen Was Tun Dentalplanet

Hundegebiss Und Hundezahne Purina Dentalife

Was Soll Ich Mit Meinen Zahnen Machen Entfernen Richten Oder So Lassen Ich Schame Mich Zu Lachen Mit Bilder Freizeit Freundschaft Medizin

Medizin Wenn Die Zahne Von Kleinkindern Einfach Zerbroseln Welt

Milchzahne Milchzahngebiss Aufbau Funktion Pflegetipps

Die Zahne Des Hundes Wie Man Zahnschmerzen Erkennt Und Behandelt Stern De
Www Lzkth De Lzkth2 Ressources Nsf 28 Unid 29 A80dd24ef1617fa1cf5002ec4be Opendocument

Zahne Traumsymbol Mit Video Traum Deutung

Wie Lange Braucht Es Bis Meine Zahne Gerade Sind Gesundheit Und Medizin Kieferorthopade

Zahn Abgebrochen So Retten Sie Einen Abgebrochenen Zahn

Trotz Vorsorge Warum Frauen Schlechtere Zahne Haben Als Manner Welt

Wo Ist Mein Zahn Onetz

Coburg 18 Jahriger Bricht Gleichaltrigem Mit Faustschlag Zahne Ab Coburg Neue Presse Coburg

Kieferorthopade Wie Arzte Mit Zahnspangen Kasse Machen Stern De

Zahn Abgebrochen Erste Hilfe Behandlung Dentolo

Kreidezahne Zahnarzte Warnen Vor Krankheit Bei Der Zahne Zerbroseln Gesundheit

Richtig Zahne Putzen Von Anfang An Baby Und Familie