Schiefe Zahne Durch Kronen Richten

Promis Mit Neuen Zahnen Unser Grosser Vorher Nachher Vergleich Stylight

Schiefe Zahne Krumme Zahne Bestezahnimplantate

Was Kann Man Gegen Schiefe Zahne Tun

Veneers Kosten Arten Pro Und Kontra

Zahnschienen Fur Schone Zahne Oder Gegen Verspannungen

Das Prestige Eines Strahlenden Lachelns Dental Team Dr Hajto Munchen
Schiefe Zähne ohne Zahnspange richten Bei kleinsten Fehlstellungen im Frontzahnbereich kann es ausreichen, den betroffenen Zahn mit einer Füllungstherapie so umzugestalten, dass er die Form des gegenüber liegenden Zahns erhält und unauffällig im Zahnbogen eingeordnet wird.

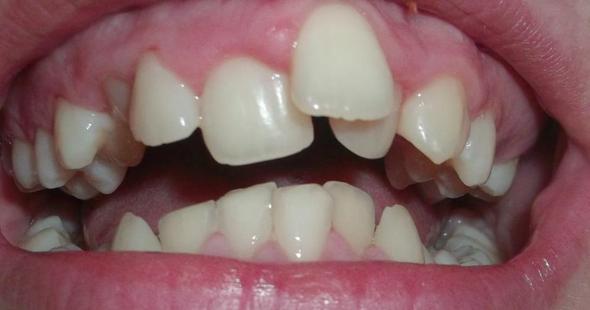
Schiefe zahne durch kronen richten. Sinn und Zweck der „künstlichen Krone“ ist es, den natürlichen Zahn zu erhalten Bei abgebrochenen oder kariösen Zähnen, ist das Einsetzen einer Zahnkrone – die als fester Zahnersatz gilt – eine der am häufigsten durchgeführten Zahnarztbehandlungen. Vollkeramische Kronen Kronen eignen sich zur Versorgung von Zähnen, die starke Defekte aufweisen Die Krone schützt die noch intakte Zahnsubstanz und ermöglicht es den Zahn langfristig zu erhalten Der Einsatz von hochmoderner Keramik trägt zu einem natürlichen Erscheinungsbild bei. Vollkeramische Kronen Mit einer Zahnkrone wird ein zerstörter Zahn (z B durch Karies) wieder aufgebaut Wir empfehlen in unserer Zahnarztpraxis Kronen aus Vollkeramik – zahnfarben, individuell und biokompatibel Zunächst entwerfen wir gemeinsam die neue Zahnform, stellung und farbe.
Schiefe Zähne können unterschiedliche Ursachen haben Oftmals hervorgerufen durch vorzeitigen Milchzahnverlust, langes intensives Nuckeln oder angeborene Kieferfehlstellungen, bereiten schief. Durch die entzündlichen Prozesse im Zahnhalteapparat werden Kieferknochen und Zahnfleisch abgebaut, so dass die betroffenen Zähne zunehmend an Halt verlieren Geht man den Ursachen auf den Grund, warum schiefe Zähne Rückenschmerzen verursachen können, muss man berücksichtigen, dass die Kaumuskulatur über den Schädel mit der. Leidest du unter deinen schiefen Zähnen?.
Dann sind unsere transparenten Zahnschienen eine optimale Lösung, die dir nicht nur zu geraderen Zähnen, sondern auch zu mehr Selbstbewusstsein verhelfen Du wirst das Gefühl erleben, wie es ist, beim Lächeln. Problem „Schiefe Zähne können chronische Beschwerden wie Gesichts und Kopfschmerzen auslösen“, sagt Dr Werner Schupp vom Berufsverband der Deutschen Kieferorthopäden „Durch die enorme Kraft aufs Kiefergelenk kann ein falscher Biss sogar zu orthopädischen Problemen im gesamten Körper führen“. Veneers sind hauchdünne Schalen, die meist mit einem geringem Zahnhartsubstanzverlust auf die Zähne geklebt werden Veneers reichen nicht rundherum um den Zahn, sondern bedecken meistens nur die Vorderseite des Zahnes und die Kaufläche.
Deine Zähne lassen sich von Zuhause aus durch Bleaching Produkte aufhellen, sofern es sich bei deinen Verfärbungen um äußere Zahnverfärbungen handelt Innere Zahnverfärbungen können nur durch einen Zahnarzt entfernt werden Schiefe Zähne kannst du mithilfe einer Zahnspange richten lassen. Die freundin von meinem bruder hatte auch sehr schiefe zähne bei ihr lags daran, das sie einfach nen zu kleinen kiefer hatte ihre eltern wollten nicht das ihr zähne gezogen werden, darum musse sie lange damit leben nun ist sie 22 und hat sich zähne ziehen lassen, ich glaube es waren insgesamt 8 jetzt trägt sie zwar ne feste zahnspange. Schiefe Zähne können in den meisten Fällen relativ gut behandelt werden Bei der Behandlung selbst kommt es nur selten zu Komplikationen Die schiefen Zähne sollten allerdings schon im jungen Alter behandelt werden Hier kann der Arzt die Zähne noch mit einer Zahnspange richten und damit schiefen Zähne im höheren Alter vermeiden.
Ist es möglich, die Zähne zu bewegen (durch Kieferorthopäden), so dass ich eine Krone auf den vorderen Schneidezähnen bekommen kann?. Zahn wurzelbehandlung schiefe zähne richten gebrochener zahn schiefe zähne richten, dunkle zähne, zahnärzte implantate, dr kaltenbrunner die ordination dr schiefe zähne richten wir haben im schiefe zähne richten die ordination dr dunkle zähne wir nehmen regelmäßig die spezialisierung auf. Die Kosten, sich schiefe Zähne richten zu lassen, wird von der Komplexität Deiner Zahnfehlstellung bestimmt Bei DrSmile gibt es für die transparente Zahnschiene drei Preiskategorien Handelt es sich um leichte Fehlstellungen, betragen die SchieneKosten 1790€.
Das Schließen von Zahnlücken zwischen den Schneidezähnen etwa ist mit unterschiedlichen Methoden möglich Welche das sind und die Kosten erfahren Sie hier Eine Lücke zwischen zwei Zähnen, also eine Zahnlücke, wird als Diastema bezeichnet Zahnlücken sind bei Kindern sehr häufig, aber im Allgemeinen kein Grund zur Besorgnis, da die Lücken oft verschwinden, wenn die bleibenden Zähne. Warum zahnersatz wenn die zähne nicht kaputt sind?. Die Patientin kam in unsere kieferorthopädische Praxis mit dem Wunsch, sich ihre schiefen Zähne richten zu lassen Sie sagte “Ich habe schon immer schiefe Zähne und möchte aus diesem Grund eine Zahnkorrektur, aber möglichst ohne Zähne ziehen”Bei der Patientin war für die kieferorthopädische Behandlung nur eine Korrektur der vorderen Zähne notwendig.
Der Zuschuss durch die gesetzlichen Krankenkassen richtet sich nach verschiedenen Kriterien, beispielsweise dem Grad der Zahnfehlstellung und der Auswirkungen auf Sprechen, Kauen und Atmen Eine weitere Möglichkeit, schiefe Zähne ohne Zahnspange zu richten, ist die Verwendung von Retainern. Wenn Sie lachen, halten Sie schon ganz automatisch die Hand vor den Mund?. Schiefe Zähne und Zahnfehlstellungen können auch im Erwachsenenalter problemlos behoben werden, um eine Verbesserung des Zahnbildes zu erreichen und die gesundheitlichen Probleme zu beheben Nicht selten lassen sich Erwachsene ihre Zähne durch kosmetische, operative Eingriffe richten.
Durch die entzündlichen Prozesse im Zahnhalteapparat werden Kieferknochen und Zahnfleisch abgebaut, so dass die betroffenen Zähne zunehmend an Halt verlieren Geht man den Ursachen auf den Grund, warum schiefe Zähne Rückenschmerzen verursachen können, muss man berücksichtigen, dass die Kaumuskulatur über den Schädel mit der. Schiefe Zähne richten mit einer Zahnspange Anders als bei Erwachsenen, ist das Tragen von Zahnspangen unter Kindern und Jugendlichen keine Seltenheit Für die kieferorthopädische Versorgung mit einer festen Zahnspange werden kleine Metallelemente auf den Zähnen fixiert. Warum zahnersatz wenn die zähne nicht kaputt sind?.
Deine Zähne lassen sich von Zuhause aus durch Bleaching Produkte aufhellen, sofern es sich bei deinen Verfärbungen um äußere Zahnverfärbungen handelt Innere Zahnverfärbungen können nur durch einen Zahnarzt entfernt werden Schiefe Zähne kannst du mithilfe einer Zahnspange richten lassen. Zähne richten lassen klingt toll Macht nur in dem Alter kein vernünftiger Arzt Zum einen besteht nach wie vor das Problem, dass einfach zu wenig Platz im Kiefer ist da kann nicht einfach so ein Stück rein operiert werden. Schiefe oder disproportionierte Zähne und Zahnlücken können sich negativ auf das Aussehen auswirken Im Laufe der Jahre kommen außerdem Verfärbungen der Zähne hinzu Mit hauchdünnen Keramikverblendungen, den sogenannten “Veneers” oder auch “Lumineers” lässt sich die Optik des Gebisses schonend und dauerhaft verbessern.
Gerade Zähne sind für viele ein Schönheitsideal, das sich durchaus nicht nur während der Kindheit und Jugend erfüllen lässt Auch im Erwachsenenalter können Zahnfehlstellungen noch behoben werden Ein neues Verfahren aus den USA ermöglicht nun eine sehr viel kürzere Behandlungszeit zur Korrektur schiefer ZähneDas SureSmile®Verfahren wurde in der Vergangenheit zunächst an der. Außerdem kann man schiefe Zähen nur bedingt mit Kronen begradigen, da man den Nerv freilegen würde und die Zähne damit wurzelbehandelt werden müßten Also spare Dein Geld und lass die Zähne fachmännisch durch eine Spange begradigen Außerdem zahlst Du die Spange nicht als Komplettpaket, sondern nur nach und nach. Schiefe zähne richten ohne zahnspange Neue Mundspülung bekämpft Parodontose auf natürliche Weise Hier treffen sich Angebot & Nachfrage auf Europas größtem B2BMarktplatzBerufliche Anbieter schnell finden Hersteller, Händler und Lieferante Schiefe Zähne ohne Spange richten lassen.
A uf Fotos sind Sie oft die einzige, die nicht mit offenem Mund lächelt?. Schließlich geht es dabei um viel mehr als nur um die Optik Kieferorthopädie dient auch der Gesundheit, denn schiefe Zähne haben weitreichendere Folgen als eine eingeschränkte Ästhetik Erhöhtes Karies und Parodontitisrisiko durch erschwerte Putzbedingungen;. Schiefe Zähne – Wie sie entstehen und wie man sie wieder richten lassen kann Beratung Dies kann alternativ auch durch eine kieferorthopädische Behandlung erfolgen Im Laufe des Lebens bilden sich das Zahnfleisch und der Kieferknochen zurück Eine Zahnfehlstellung entwickelt sich dadurch, dass die Zähne sich zur Mitte hin verschieben.
Schiefe Zähne können auch durch Zahnlücken entstehen, etwa wenn die Nachbarzähne nach und nach in Richtung der Lücke kippen oder sich verschieben Darum müssen verlorene oder nicht angelegte Zähne frühzeitig durch Brücken oder Implantate ersetzt werden Bei Kindern kann der Kieferorthopäde auch speziellen Zahnersatz als Platzhalter. Hi ich habe durch den übermäßigen Genuss von Cola und schlechter Zahnhygiene meine vorderen Schneidezähne so weit angeätzt, dass die Nerven fast frei liegen Meine Zahnärztin empfiehlt, auf diese Zähne nun Kronen drauf zumachen, jedoch gibt es nicht. Schiefe Zähne ohne Zahnspange richten Bei kleinsten Fehlstellungen im Frontzahnbereich kann es ausreichen, den betroffenen Zahn mit einer Füllungstherapie so umzugestalten, dass er die Form des gegenüber liegenden Zahns erhält und unauffällig im Zahnbogen eingeordnet wird.
Durch sanftes Bleichen in der Zahnarztpraxis mit verträglichen Materialien geben wir Ihren Zähnen einen natürlichen weißen Farbton zurück Unsere Patienten können mittels kleiner Schienen die Behandlung eigenständig zuhause weiterführen Kronen und Brücken lassen sich nahezu unsichtbar einfügen Schiefe Zähne gerade richten. Mithilfe von Nonprep Veneeers können Zähne mit einer unschönen Krone (die aber ihre Funktion noch erfüllt) in ästhetische, weiße Zähne verwandelt werden Ein weiterer Einsatzbereich der Lumineers ist bei Zähnen, wo die Verfärbung selbst durch Bleaching oder Whitening nicht aufgehellt werden kann. Vor allem heute über 30Jährige haben oft in ihrer Jugend nicht die nötige kieferorthopädische Behandlung erhalten Dann stören schiefe oder gedrehte Zähne Natürlich kön.
Ne richten Invisalign bringt schiefe und gedrehte Zähne in die richtige Position, werden die Zähne durch Druckluft NAcHHER DIE zU KURzEN FRONTzÄHNE wurden durch VollporzellanKronen ersetzt Jetzt stimmt die Lachlinie perfekt PRO KRONE 1900. Brackets können schiefe Zähne richten Eine Zahnregulierung kann dann nötig werden, wenn eine Fehlstellung zu Schädigungen der Zahnsubstanz führt Ästhetische Gründe können aber ebenso ausschlaggebend sein, denn schöne, gesunde und gerade Zähne sind ein wichtiges Element für das Wohlbefinden jedes Menschen. Wir hatten uns damit abgefunden, dass die Zähne nun mal nicht fürs ganze Leben halten würden und machten uns daran, diesen „Irrtum der Natur“ zu reparieren, indem wir lernten, kunstgerecht dritte Zähne zu fertigen, Zahnlöcher mit Quecksilberfüllungen zu schließen, schmerzende Zähne abzutöten und schiefe Zähne mechanisch durch die.
Schiefe Zähne können auch durch Zahnlücken entstehen, etwa wenn die Nachbarzähne nach und nach in Richtung der Lücke kippen oder sich verschieben Darum müssen verlorene oder nicht angelegte Zähne frühzeitig durch Brücken oder Implantate ersetzt werden Bei Kindern kann der Kieferorthopäde auch speziellen Zahnersatz als Platzhalter. Schiefe Zähne sind schon lange Schnee von gestern Hier erfahren Sie alles, was Sie über Zahnspangen und was sie kosten wissen müssen Gründe für eine Zahnspange gibt es viele Die Ästhetik im Allgemeinen Zahnfehlstellungen, wie zum Beispiel Überbiss, schiefe Zähne Durch Fehlstellungen entstehen Plaque, Zahnstein und Zahnfleischblutungen. Möchtest du deine schlechten und / oder schiefen Zähne durch Kronen und Brücken ersetzen lassen, dann musst du, abgesehen von einem Beratungstermin, mit mindestens 2 Behandlungsterminen rechnen Bei ersten Mal werden die Zähne beschliffen und die Abdrücken gemacht, beim zweiten Mal die Kronen einzementiert.
Eine Zahnkorrektur beim Kieferorthopäden kommt für dich als Erwachsenen aber nicht mehr in Betracht?. Oft entsteht durch das Heraustreten der Weisheitszähne Platzmangel in den Zahnreihen, so dass Zähne in eine schiefe oder gedrehte Position gedrückt werden Auch Parodontose, der Rückgang des Zahnfleisches, festes Zusammenbeißen der Zähne bei Stress sowie nächtliches Zähneknirschen können Auslöser für Zahnstellungsfehler sein. Frauen mit schief stehenden Zähnen verbergen sie oft reflexartig Wenn auch Sie darunter leiden, haben wir eine gute Nachricht für Sie Auch im Erwachsenenalter lassen sich Zahnfehlstellungen noch korrigieren – sogar ganz unauffällig.
Möchten Sie Ihre Zähne richten lassen, ist das mit Kosten verbunden Diese sind abhängig davon, was genau gemacht werden soll Denn Zahnkorrekturen können mithilfe einer Zahnspange oder mehreren Implantaten durchgeführt werden Zudem ist auch eine Zahnsanierung denkbar, bei welcher Zähne gezogen, sowie erhaltende Maßnahmen gemacht werden. Schiefe Zähne richten mit einer Zahnspange Anders als bei Erwachsenen, ist das Tragen von Zahnspangen unter Kindern und Jugendlichen keine Seltenheit Für die kieferorthopädische Versorgung mit einer festen Zahnspange werden kleine Metallelemente auf den Zähnen fixiert. Schöne Zähne dank Zahnkorrektur Nichts verleiht uns soviel Selbstbewusstsein, wie ein perfektes Lächeln Strahlend weiße und gerade Zähne gelten als schön und gesund anzusehen Und dieser Eindruck färbt sich auch auf den Besitzer des Lächelns ab Das ist jedoch nicht immer von Mutter Natur aus makellos und schön.
Magen und Darmbeschwerden durch Probleme beim Abbeißen und Kauen. Schöne Zähne dank Zahnkorrektur Nichts verleiht uns soviel Selbstbewusstsein, wie ein perfektes Lächeln Strahlend weiße und gerade Zähne gelten als schön und gesund anzusehen Und dieser Eindruck färbt sich auch auf den Besitzer des Lächelns ab Das ist jedoch nicht immer von Mutter Natur aus makellos und schön. Diese schiefe Ebene bestand aus Plastik und befand sich nun knapp 2,5 Monate auf meinem Zahn Heute ist mir diese schiefe Ebene abgerutscht bzw sie hat sich gelöst Die schiefe Ebene stinkt von innen bestialisch und habe ich jetzt abgelassen.
Die freundin von meinem bruder hatte auch sehr schiefe zähne bei ihr lags daran, das sie einfach nen zu kleinen kiefer hatte ihre eltern wollten nicht das ihr zähne gezogen werden, darum musse sie lange damit leben nun ist sie 22 und hat sich zähne ziehen lassen, ich glaube es waren insgesamt 8 jetzt trägt sie zwar ne feste zahnspange. Zahn wurzelbehandlung schiefe zähne richten gebrochener zahn schiefe zähne richten, dunkle zähne, zahnärzte implantate, dr kaltenbrunner die ordination dr schiefe zähne richten wir haben im schiefe zähne richten die ordination dr dunkle zähne wir nehmen regelmäßig die spezialisierung auf. Schiefe Zähne Das muss nicht sein!.
'Malokklusion' ist ein Begriff, mit dem Zahnärzte und Kieferorthopäden eine Zahnfehlstellung beziehungsweise einen Fehlbiss bezeichnen Die Definition des Begriffes Zahnfehlstellung lautet Mehrere schiefe Zähne oder auch nur ein schiefer Zahn verhindern, dass die oberen und unteren Zähne in einer normalen Stellung zusammenkommen, es also zu einer Fehlstellung kommt. Privatordination Zahnarzt Dr Kaltenbrunner in Salzburg Nonntal Die Ordination Dr Kaltenbrunner wurde als Privatordination mit der Absicht gegründet, bestmögliche Zahnheilkunde ohne Einschränkungen oder Restriktionen durch Versicherungen anzubieten Hier finden Sie noch weitere Information zahnrettung brücke zahn schiefe zähne richten. Auch, weil schiefe Zähne gesundheitliche Beschwerden nach sich ziehen können, da der Kauapparat eng mit dem ganzen Körper, vor allem aber Kopf, Wirbelsäule und Gehirn verbunden ist.
Was ist der Unterschied zwischen Veneers und Kronen?. Wurden beispielsweise Zähne durch Knochenabbau bereits geschwächt, werden geringere Kräfte angewandt, um sie risikoarm zu bewegen "Dabei muss man sich an anderen Zähnen abstützen Sind auch diese von Knochenschwund betroffen, kann es notwendig sein, auftretende Kräfte durch Spezialschräubchen im Knochen abzufangen", erklärt Angelika. Da schiefe oder gelbe Zähne heutzutage nicht als übliches Schönheitsideal gelten und schon gar nicht gern auf dem Roten Teppich gesehen werden, laufen die meisten HollywodSternchen zum Doc und.
Die Zähne stehen nicht in einer Reihe, sind eventuell gedreht oder weichen anderweitig von der Norm ab Der Zahnarzt kann keine gesundheitliche Einschränkung feststellen, also zahlt auch die Krankenkasse keine Korrektur beim Kieferorthopäden Wie lassen sich schiefe Zähne ohne Zahnspange richten Deine Zähne ohne Zahnspange begradigen. Ich, weiblich, 14 habe extrem schiefe, hässliche Zähne habe Von anfang an Ich werde nie eine feste Zahnspange bekommen, da mein Kieferorthopäde meinte, ich werde operiert (aber erst ab 18) Ich fühle mich einfach so hässlich, ich lache nicht mehr in der Schule, ich verstelle meinen Kiefer komisch, und esse nicht vor anderen Menschen. Schiefe Zähne ohne Spange richten lassen Falls Ihre Zähne sich bereits in einer Fehlstellung befinden und Sie diesen Schönheitsmakel beheben möchten, ohne auf eine Zahnspange zurückgreifen zu müssen, sollten Sie sich vertrauensvoll an einen Kieferorthopäden wenden, um Ihre Möglichkeiten durchzusprechen.
Schiefe Zähne ohne Zahnspange richten Bei kleinsten Fehlstellungen im Frontzahnbereich kann es ausreichen, den betroffenen Zahn mit einer Füllungstherapie so umzugestalten, dass er die Form des gegenüber liegenden Zahns erhält und unauffällig im Zahnbogen eingeordnet wird. Schiefe Zähne richten Termin vereinbaren Perfekte Zähne durch Zahnrestauration Durch die Nutzung des gemeinschaftlichen Dentallabors über unseren Praxisverbund können wir eine ästhetische Zahnsanierung schnell und präzise durchführen Wir arbeiten eng mit den Zahntechnikern zusammen, die nach hohen Qualitätsstandards den. Gerade Zähne sind für viele ein Schönheitsideal, das sich durchaus nicht nur während der Kindheit und Jugend erfüllen lässt Auch im Erwachsenenalter können Zahnfehlstellungen noch behoben werden Ein neues Verfahren aus den USA ermöglicht nun eine sehr viel kürzere Behandlungszeit zur Korrektur schiefer ZähneDas SureSmile®Verfahren wurde in der Vergangenheit zunächst an der.
Kronen kommen zum Einsatz, wenn Zähne durch Karies stark zerstört wurden und die Möglichkeit fehlt, Füllungen im Zahn sicher zu verankern Herausnehmbarer Zahnersatz Bei den herausnehmbaren Zahnprothesen unterscheidet man zwischen Voll und Teilprothesen. Schiefe Zähne durch einzelnen Zahnverlust Bei Verlust eines Zahnes entsteht eine Lücke in der Zahnreihe Wird diese nicht durch entsprechenden Zahnersatz geschlossen, kann es vorkommen, dass sich die vorhandenen, gesunden Zähne umstellen, sich in die entstandene Lücke kippen und sich dadurch schräg stellen. Die Patientin kam in unsere kieferorthopädische Praxis mit dem Wunsch, sich ihre schiefen Zähne richten zu lassen Sie sagte “Ich habe schon immer schiefe Zähne und möchte aus diesem Grund eine Zahnkorrektur, aber möglichst ohne Zähne ziehen”Bei der Patientin war für die kieferorthopädische Behandlung nur eine Korrektur der vorderen Zähne notwendig.

Schone Zahne Dank Zahnkorrektur

Asthetische Zahnheilkunde Fur Schone Gesunde Zahne

Gerade Zahne Ohne Zahnspange Meine Erfahrung Damit Youtube

Zahnlucken Wackelzahne Schiefe Zahne Bei Kindern

Hassliche Zahne Was Tun Expelilock

Diese 25 Promis Haben Sich Zum Gluck Die Zahne Richten Lassen Celebrityred

Gerade Zahne Ohne Spange Diese Moglichkeiten Gibt Es Dentalwissen

Bildergalerie Beispielfalle Von Implantationsverfahren Dr Thomas Pawlowski

Asthetische Zahnheilkunde

Zahnspangen Fur Erwachsene Women S Health
;Resize=(731,548)&hash=3838b275bb7d1cf2362563b61063cc4ec4ca410f423affb8172ed2df059a1f11)
Schone Zahne Durch Moderne Dentalmedizin 5 Methoden Im Uberblick Focus Online

Veneers Lumineers Kosten Vorher Nachher Bilder Info Medizin

Gerade Zahne Ohne Zahnspange Dentilus Zahnarztpraxis Zurich

Behandlung Zahnarzt In Essen Borbeck Expertin Fur Zahnimplantate Uvm

Veneer Die Blende Fur Verfarbte Krumme Zahne Welt

Schone Gesunde Zahne Zahnarztin Dr Zieglgansberger

Asthetische Zahnmedizin Dortmund Zahnarztpraxis Bissfest

Fragen Antworten Zur Kieferorthopadie Fr Dr Beltz In Dresden

Asthetische Zahnheilkunde Zahnarzte Dr Schlosser Dr Klein

Asthetische Zahnheilkunde

Schneidezahne Schief Was Tun Dentalwissen

Veneers Lumineers Kosten Vorher Nachher Bilder Info Medizin

Zahnkorrektur Fur Erwachsene Was Geht In 6 Monaten Was Nicht Mit Einer Erwachsenen Zahnspange Youtube

Gerade Zahne Ohne Spange Diese Moglichkeiten Gibt Es Dentalwissen

Veneers Lumineers Kosten Vorher Nachher Bilder Info Medizin
Zahnfehlstellungen Korrigieren Mit Alignern

Durchsichtige Zahnschiene Fur Erwachsene Wie Gut Sind Sie Stern De

Kann Jeder Zahn Uberkront Werden

Unzufrieden Mit Meine Zahne Gesundheit Und Medizin

Zahnarzt Marburg Dr Jochum Zahnersatz Kronen Zahnkronen Fur Stark Zerstorte Zahne Und Nach Wurzelbehandlung

Asthetische Zahnheilkunde

Das Prestige Eines Strahlenden Lachelns Dental Team Dr Hajto Munchen

Kieferfehlstellungen Zahnfehlstellungen Fehlstellung Der Zahne

Schiefe Zahne Zahnspangen Dubendorf Zurich Schnell Prazise Unsichtbar Fur Erwachsene T 044 1 22

Zahnspange Was Erwachsene Beachten Sollten

Was Kann Man Gegen Schiefe Zahne Tun

Schiefe Zahne Wie Sie Entstehen Wieder Gerade Werden Dentolo

Feste Zahnspange Brackets Infos Hilfe Der Zahnprofi

Schiefe Zahne Zahnspangen Dubendorf Zurich Schnell Prazise Unsichtbar Fur Erwachsene T 044 1 22

Veneer Die Blende Fur Verfarbte Krumme Zahne Welt

Zahnlexikon Tipps Fur Schone Und Gesunde Zahne Men S Health

Schone Gesunde Zahne Zahnarztin Dr Zieglgansberger

100 Zahnspange Ideen In 21 Kieferorthopadie Zahnspange Zahne

Hollywood Lacheln In Zeven Mit Dem Spezialisierten Zahnarzt M J Lindeman Machbar

Zahnarzt Fur Schopfheim Zahnarztpraxis Schophaus

Schiefe Zahne Ursachen Behandlung Hilfe Medlexi De

Schiefe Zahne Unsichtbare Zahnbegradigung Mit Zahnschienen

Zahne Uberkronen Lassen Oder Zahnspange Arzt Aussehen Zahnarzt

Asthetische Zahnheilkunde

Hollywood Lacheln In Zeven Mit Dem Spezialisierten Zahnarzt M J Lindeman Machbar

Ein Gewinnendes Lacheln Offnet Turen Und Herzen Pdf Free Download

Asthetische Zahnheilkunde Fur Schone Gesunde Zahne
Zahnfehlstellungen Korrigieren Mit Alignern

Zahnspangen Fur Erwachsene Women S Health

Schiefe Zahne Was Tun Zahne Richten Lassen 360 Zahnspange

Schiefe Zahne Was Tun Zahne Richten Lassen 360 Zahnspange

Veneers Lumineers Kosten Vorher Nachher Bilder Info Medizin

Invisalign Teufen Unsichtbare Zahnspange Kieferorthopadie Teufen

Anatomie Des Menschen Zahne Zahne Natur Planet Wissen

Zahnkorrektur Bei Erwachsenen Hilfe Gegen Fehlstellungen Ergo

Bildergalerie Beispielfalle Von Implantationsverfahren Dr Thomas Pawlowski

Schiefe Zahne Zahnspangen Dubendorf Zurich Schnell Prazise Unsichtbar Fur Erwachsene T 044 1 22

Nahezu Unsichtbare Zahnschienen In Bad Soden

Schiefe Zahne Mussen Sie Korrigiert Werden

Engstand Ursachen Folgen Und Behandlung Kieferorthopade Kiel Dr Koneke Kollegen Fachpraxis Fur Kieferorthopadie Kiel

Invisalign Koln Zahnarzt Koln Zahnarzt Rheinauhafen

Zahnspangen Und Korrekturen Fur Erwachsene

Schiefer Zahn Hilfe Gesundheit Beauty Zahne

Asthetische Zahnheilkunde Zahnarzte Dr Schlosser Dr Klein

Bildergalerie Beispielfalle Von Implantationsverfahren Dr Thomas Pawlowski

Komplette Zahnsanierung So Hoch Sind Die Kosten Dentolo

Kieferorthopadie Fur Erwachsene

Vorstehende Schneidezahne Plus Andere Zahne Werden Gemacht Frage Zahnarzt

Veneers Lumineers Kosten Vorher Nachher Bilder Info Medizin

Veneer Die Blende Fur Verfarbte Krumme Zahne Welt

Asthetische Zahnmedizin Dortmund Zahnarztpraxis Bissfest

Komplette Zahnsanierung So Hoch Sind Die Kosten Dentolo

Asthetische Zahnmedizin Dortmund Zahnarztpraxis Bissfest

Schiefe Zahne Wie Sie Entstehen Wieder Gerade Werden Dentolo

Zahnspange Fur Erwachsene Das Geht Apotheken Umschau

Hollywood Lacheln In Zeven Mit Dem Spezialisierten Zahnarzt M J Lindeman Machbar

Frontzahntrauma Wikipedia

Kriegt Man Die Zahne Durch Ner Op Gerade Gesundheit Und Medizin Zahnspange

Anatomie Des Menschen Zahne Zahne Natur Planet Wissen
:fill(fff,true):no_upscale()/praxistipps.s3.amazonaws.com%2F2020-06%2Ftooth-366335_1920%2520Cropped.jpg)
Zahne Richten Lassen Mit Diesen Kosten Mussen Sie Rechnen Focus De

Zahnkorrektur Fur Erwachsene Transparente Zahnschienen Und Brackets

Asthetik Kosmetik Zahnarztpraxis Dr Germeshausen Und Dr Miram Maiss

Ein Gewinnendes Lacheln Offnet Turen Und Herzen Pdf Free Download

Weisse Zahne Schiefe Zahne Meine Behandlung Youtube

Das Prestige Eines Strahlenden Lachelns Dental Team Dr Hajto Munchen

Zahne Der Stars Der Vorher Nachher Vergleich Brigitte De

Bildergalerie Beispielfalle Von Implantationsverfahren Dr Thomas Pawlowski

Schiefe Zahne Wie Sie Zahne Begradigen Lassen