Loch Am Zahnhals

Mit Diesem Altbekannten Medikament Konnten Sich Geschadigte Zahne Zukunftig Selbst Reparieren Oral Health Care Health Tips Healthy Skin Care

Wissenschaftliches

Zahne Netdoktor At

Wie Wird Karies Behandelt Verbraucherzentrale De

Zysten Im Zahnfleisch Oder Kiefer Was Tun

Symptome Bei Karies
Felix Loch extended his World Cup luge men’s singles points lead Saturday in the first major race where US sliders took part since before the pandemic began Loch won for the sixth time in.

Loch am zahnhals. A narrow loch, scarcely half a mile wide, separates Island McGill from the mainland of Ireland;. Nutzen Sie am besten eine elektrische Zahnbürste oder Schallzahnbürste Diese Zahnbürsten haben sich bereits mehrmals erfolgreich gegenüber Handzahnbürsten bewährt Tipp Die besten elektrischen Zahnbürstenmodelle sind derzeit die Philips Sonicare DiamondClean, die OralB Smart 5000 & die OralB Pro 6000. Ich habe seit kurzem ein Schlitzförmiges "Loch" am Seitenbereich meines Zahns (Siehe Foto) Ich habe versucht mit einem Zahnstocher leicht diese Stelle zu berühren und dies schmerzt Fühlt sich an wie ein Loch im Zahn.
With Jim McMeekin, Laura Fraser, Siobhan Finneran, Don Gilet The search for a serial killer becomes a matter of life and death for detective Annie Redford, who is trying to cope with her first murder case. Zahnentzündung, Eiterzahn Eine "Eiterzahn" als Abszess wird im Volksmund vielfach als Zahnentzündung bezeichnet, womit eine Pulpitis oder eine Zahnwurzelentzündung gemeint ist Die Zahnentzündung wird als Zahnnervenentzündung oder Pulpaentzündung bezeichnet, da das Zahnmark empfindliche Nerven beinhaltet Pulpitis eine Entzündung vom Zahnnerv (Pulpa), eine eitrige Entzündung bzw. Vom Zucker zum Karies und zurück Der Zahn Die Grübchen (Fissuren) der Backenzähne (Molaren) Die Grübchenkaries versiegelte Grübchen Milchzähne sind weicher und deswegen mehr gefährdet als die bleibenden Zähne Die erste Vorstufe von Karies Zahnbelag (Plaque) Die zweite Vorstufe von Karies Der "Kreidefleck" Karies Der Befund Die verschiedenen Tiefen von.
Loch Lomond (or ‘The Bonnie Banks o’ Loch Lomond') is a traditional song first published in the “Vocal Melodies of Scotland,” 1841 It mainly features the title lake, Loch Lomond. Mehr oder weniger stark ausgebildeten Zahnhals und der Zahnwurzel mit Am Wirbelbogen verzahnen sich die Wirbel von vorne nach hinten zunehmend, die Loch Foramen supratrochleare. Ich war am Freitag bei meinem Zahnarzt der mir eine Plombe verpasst hat Es war ein größeres Loch, aber laut Zahnarzt wäre aufgrund des Röntgens keine Wurzelbehandlung von Nöten Beigemerkt sei auch dass ich vorher keine Schmerz verspürte und ich ganz normal essen konnte ich wusste von dem Loch gar nix, und habe auch nichts gespürt.
View 10 photos for Loch Ness Ct, Miami Lakes, FL a 4 bed, 2 bath, 2,453 Sq Ft single family home built in 1972 that sold on 09/17/13. Freiliegende Zahnhälse sind häufig nicht nur sehr schmerzempfindlich, sie zählen auch zu den Hauptursachen für Zahnhalskaries Laut der vierten deutschen Mundgesundheitsstudie (DMS IV) ist bei 21,5 Prozent der 35 bis 44Jährigen und sogar bei 45 Prozent aller 65 bis 74Jährigen mindestens eine Wurzeloberfläche kariös oder gefüllt. Am Zahnhals ist der Zahn einer sehr hohen mechanischen Beanspruchung ausgesetzt, da im Bereich des Zahnhalses während des Kauens starke vertikale sowie horizontalen Kräfte auf diesen wirken Diese hohen Krafteinwirkungen können dazu führen, dass die Zahnhalsfüllung in Teilen oder auch im Ganzen herausbricht und erneuert werden muss.
Links to this dictionary or to single translations are very welcome!. Loch definition A loch is a large area of water in Scotland that is completely or almost completely Meaning, pronunciation, translations and examples. About ACCESS Welcome to Florida Department of Children and Families Automated Community Connection to Economic Self Sufficiency (ACCESS) The ACCESS Florida system allows customers to connect with their public assistance information 24/7, through the online application and MyACCESS Account.
Zähne putzen, wenigstens zweimal am Ausgewogen essen Eine ausgewogene Ernährung reich an Vitamin C und Calcium verringert die Wahrscheinlichkeit, Beschwerden am Zahnfleisch zu bekommen Viel Wasser trinken Nach dem Essen spült Wasser die Speisen, die zwischen den Zähnen festsitzen, weg Das beugt Belägen und Zahnsteinbildung vor. Get reviews, hours, directions, coupons and more for Orlando Ophthalmology Surgery at 105 Bonnie Loch Ct, Orlando, FL Search for other Physicians & Surgeons, Ophthalmology in Orlando on The Real Yellow Pages®. Sure by Tummel and Loch Rannoch And Lochaber I will go By heather tracks wi' heaven in their wiles If it's thinkin' in your inner heart The braggart's in my step, You've never smelled the tangle o' the Isles Oh the far Coolins are puttin' love on me As step I wi' my cromack to the Isles It's by Shiel water the track is to the west.
Der freiliegende Zahnhals wird mit einem Zahnfleischlappen abgedeckt die Rezession gedeckt zinnzinnenburgat Am stärksten wirkt sich die Rezession auf die Menschen damit im Loch möglichst kein Gewebe beschädigt wird Zusätzlich zur ursprünglichen Hautreduktion,. The Loch (TV MiniSeries 17) cast and crew credits, including actors, actresses, directors, writers and more. About Biography The highly skilled team at Loch Haven OB/GYN has been caring for Central Florida women for more than years With access to Florida Hospital's advanced technology and with specializations ranging from highrisk pregnancies to chronic pelvic pain, the boardcertified physicians at Loch Haven OB/GYN provide care for every stage of a woman's life.
Anatomie GK1 Vorbereitung für den Ersten Abschnitt der Ärztlichen Prüfung (Physikum). Freiliegende Zahnhälse sind häufig nicht nur sehr schmerzempfindlich, sie zählen auch zu den Hauptursachen für Zahnhalskaries Laut der vierten deutschen Mundgesundheitsstudie (DMS IV) ist bei 21,5 Prozent der 35 bis 44Jährigen und sogar bei 45 Prozent aller 65 bis 74Jährigen mindestens eine Wurzeloberfläche kariös oder gefüllt. EnglishGerman online dictionary developed to help you share your knowledge with others More information Contains translations by TU Chemnitz and Mr Honey's Business Dictionary (GermanEnglish) Thank you!.
Ethically crafted Canadianmade eyeglasses & sunglasses shipped to your door on a free threeday trial Loch stands for world class construction and ecofriendly production of exclusive lines of eyewear made from exciting natural materials. Swan Lake/Loch na hEala Teac Damsa Written, directed, and choreographed by Michael KeeganDolan BAM DEBUT Part of Next Wave 19 One of Ireland’s most imaginative theater makers deconstructs the beloved classic for our modern age Michael KeeganDolan and his company Teac Damsa transport audiences to a magical realist otherworld of light. A scientist who has spent decades researching the Loch Ness Monster has put forward a fascinating new theory which argues that the creature could be an ancient sea turtle Live Nightly 1am 5am EST / 10pm 2am PST.
Places to stay in Loch Ness include unique selfcatering lodges, welcoming B&Bs, charming lochside cottages where you can wake up to stunning views of Loch Ness or friendly hostels, scenic camping, caravan sites and glamping accommodation for an affordable yet unforgettable experience. Zusätzlich sorgt die glattere Oberfläche dafür, dass sich schädliche Bakterien weniger leicht am Zahn anheften können Defekte verschließen Kunststoffe als „Lückenfüller“ Bei manchen Patienten sind durch eine ungünstige Putztechnik regelrechte Rillen und Kerben am Zahnhals entstanden. Noch eine Frage Vor dem Zahnarztbesuch hatte ich vor lauter Angst starke Übelkeit u fiel schliesslich in Ohnmacht Da ich weitere Zahnprobleme (1/4 Backenzahn fehlt, Zahnfleischbluten, diverse Löcher) habe.
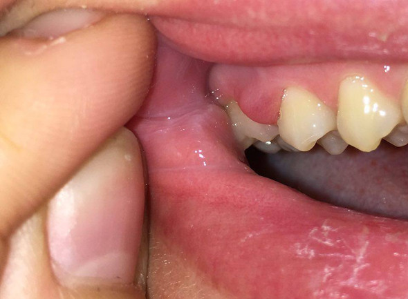
Egal, ob Sie sich am heimischen PC oder unterwegs per Smartphone informierenwollen, unser eBook kann hierdurch plattformunabhängig genutzt werdenMit freundlichen Grüßen,Dr Dr Frank SchneiderHinweise zum Inhalt Trotz sorgfältiger inhaltlicher Kontrolle und einem mehrstufigen redaktionellen Prozesssind Fehler nicht per se auszuschließen. Einkerbungen am Zahnhals sind Folgen von Überlastung und/oder falscher PutztechnikSie sind meist nicht braun verfärbt Wenn ja ist das eher die Folge von Rauch, Tee, Rotwein etcAusnahme weiches gewebe dann wäre es Verdacht auf Karies Ansonsten wüsste ich nicht, was Sie mit Einkerbungen meinen könnten Antwort vom 0034. Liebes Experten Team, ich habe ein sichtbares Loch am Schneidezahn direkt unter dem Zahnfleisch Wie wird das gemacht Man kann doch nicht am Zahnfleisch bohren Wird es aufgeschnitten?.
Loch Ness is roughly a threeandahalfhour drive from Glasgow or Edinburgh, Scotland’s two biggest cities For many people, the Loch Ness Monster legend is a gateway into a beautiful part of. Anschließend wird das entstandene Loch mit einem Füllungsmaterial versehen Das Entfernen der Karies entspricht der Entfernung einer Karies an der Zahnkrone An Füllungsmaterial können viele verschiedene gewählt werden, die sich am Ausmaß des Defektes und am Wunsch des Patienten orientieren. äußerst schmerzhaft FORL Loch am Zahnhals einer Katze Oder die Meerschweinchen oder Kaninchen Besitzer mit den mageren Tieren, bei denen einem beim Hochklappen der Oberlippe viel zu lange Schneidezähne entgegenspringen, oder bei denen die Backenzähne lange Haken gebildet haben, die in die Backe oder die Zunge einbeißen.
Loch Ness Monster sighting as ‘baffled’ fireman spots 12ft ‘hump’ in the water near kayakers "I have lived all my life in the area and I am a keen fisherman who has spent hundreds of. The ruins of Boleskine House Photo by Mark Wallbank The BBC reports that Boleskine House, former home of occultist Aleister Crowley, and later owned by Led Zeppelin guitarist Jimmy Page, is for saleAfter a fire tore through the manor in 15, though, there isn’t much left. Deswegen hat jede Wurzel am unteren Ende, da wo sie im Knochen drin steckt, ein kleines Loch, wo diese Gefäße und Fasern austreten Und den Wurzelkanal, das war ja Ihre Frage, der Wurzelkanal ist der Teil dieses Hohlraumes, den ich eben beschrieben habe, der sich in der Wurzel befindet.
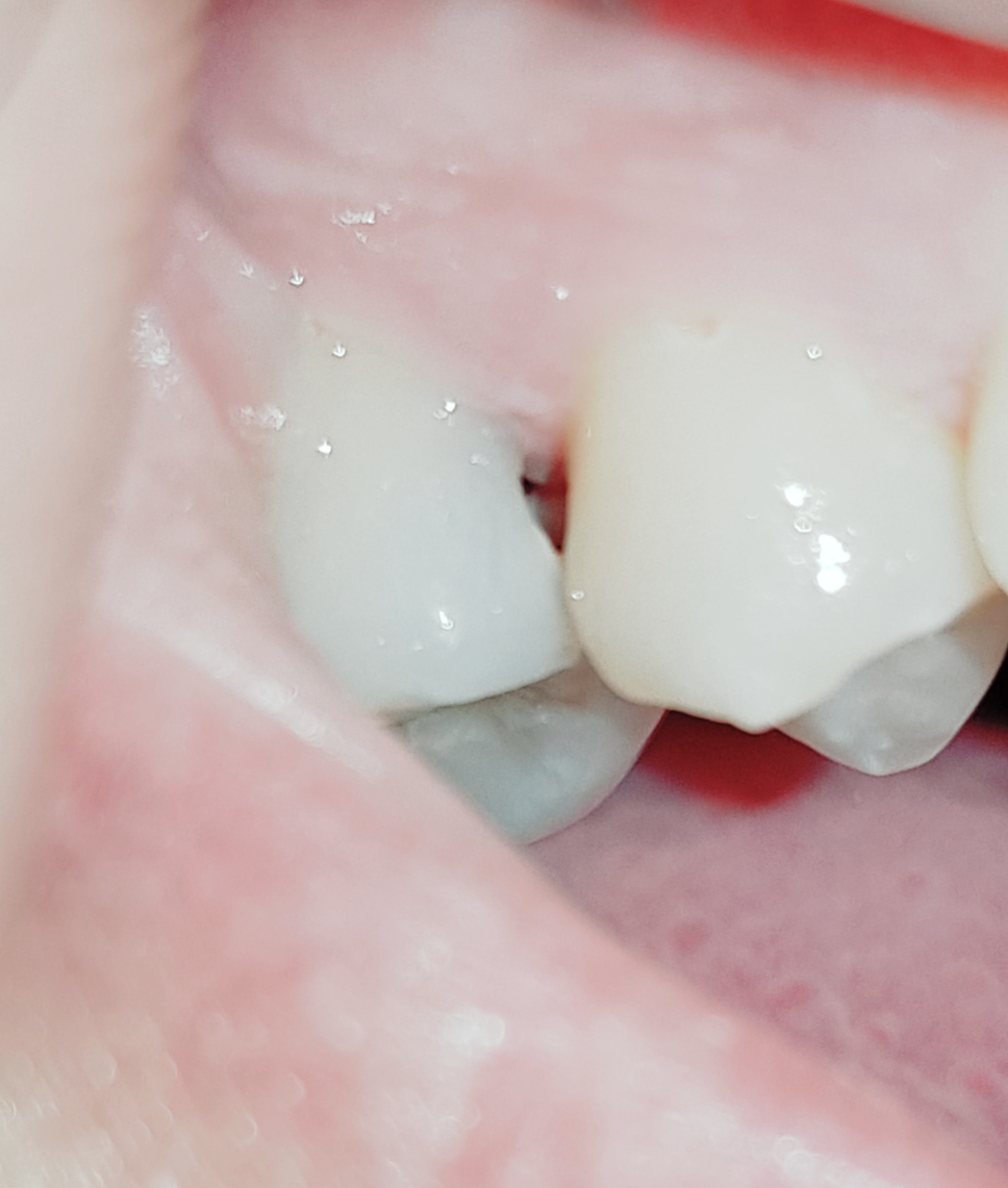
An icon used to represent a menu that can be toggled by interacting with this icon. Loch Ness is best known for alleged sightings of the cryptozoological Loch Ness Monster, also known affectionately as "Nessie" (Scottish Gaelic Niseag)It is connected at the southern end by the River Oich and a section of the Caledonian Canal to Loch OichAt the northern end there is the Bona Narrows which opens out into Loch Dochfour, which feeds the River Ness and a further section of. Ich habe vor 2 en dieses Loch entdeckt leider genau am Zahnhals bis zum Zahnfleisch Ich habe es vorher überhaupt nicht gemerkt Komme auch mit keiner bürste oder Zahnseide durch Weder Kälte noch Wärme haben einen Schmerz ausgelöst Ich habe in 5 en einen Termin beim Arzt Meine Frage ist inwiefern kann man diesen Zahn retten.
An icon used to represent a menu that can be toggled by interacting with this icon. Start studying Fachbegriffe ZFA Learn vocabulary, terms, and more with flashcards, games, and other study tools. An underwater camera captured the faint outline of a thin, slender creature passing through the murky waters of the loch, 23 miles southwest of Inverness.
Purchase online pick from our finest selection of whiskies free uk delivery on orders over £50. Das Loch saß am Zahnhals und nicht auf der Kaufläche Also kann die Füllung nicht zu hoch sein Im Internet steht, dass solche Schmerzen nach einer Woche vorbei sein sollten Dies ist aber nicht der Fall Bitte um Rat was das bei mir sein könnte Und welche Schritte eingeleitet werden sollten Zb. Die häufigste ursache für zahnhalsdefekte ist falsche verwendung der zahnseide / zahnbürste, gefolgt von fehlenden seitzähnen und/oder tiefen zahnfüllungen.
Loch ist Loch 1,568 likes Alles Loch ????. ZahnhalsKaries Zahnhalskaries ist Karies am SchmelzZementübergang der durch den Gingivitisbedingten Zahnbelag begünstigt wird Zahnhalskaries ist ZahnKaries (Caries) am Zahnhals, der zu den Prädilektionsstellen gehört Als häufigste Ursache für Zahnhalskaries sind freiliegende Zahnhälse die ein hohes Risiko darstellen für Zahnhalskaries und damit betrifft es hauptsächlich. Es kann also passieren, dass sich Füllungen am Zahnhals öfters lösen Dennoch ist dies eine gute Möglichkeit Ihre Symptome zu behandeln, denn Kunststofffüllungen verschließen die freiliegenden Dentinkanälchen sehr zuverlässig Durch die Füllung wird auch die optische Beeinträchtigung, die durch den Defekt ausgelöst wurde wieder.
Freiliegende Zahnhälse Was Sie dagegen tun, wie Sie das Problem behandeln können und was wirklich hilft. Search the world's information, including webpages, images, videos and more Google has many special features to help you find exactly what you're looking for. (5) der bestöööö der piercer meines vertrauens^^ hatte vorher ein bekannteres studio am zoo besucht und hatte beim ersten piercing ständig ne entzündung und beim zungenpiercing auch meine probleme da es sehr weit vorne und schräg gestochen wurde was mein zahnhals sich mit der zeit freilegte danach kam ich bei unikat vorbei und nicht bei einem piercing hatte ich probleme ich plane.
Schwarzes loch im zahnfleisch Kostenlose Lieferung möglic SuperAngebote für Zahn Durch Zahnfleisch Sichtbar hier im Preisvergleich In den meisten Fällen heilt ein Loch im Zahnfleisch, welches auf Zahnentfernung beruht, innerhalb einiger Wochen wieder ab Lediglich sehr große Löcher benötigen manchmal bis zu sechs Monate, um sich vollständig zu verschließen. An icon used to represent a menu that can be toggled by interacting with this icon. And, once across this loch, one finds himself in an entirely different country.
2,008 Followers, 274 Following, 242 Posts See Instagram photos and videos from persoenlichcom (@persoenlichcom). ABOUT LOCH BAR Located in Houston’s exclusive River Oaks District, Loch Bar is a classic seafood tavern featuring one of the area’s largest raw bar and seafood menus The food menu is complemented by a wide selection of local craft beer, handcrafted cocktails and one of Texas’ most substantial whiskey lists. Am Kurpark 4 (4, mi) Winterberg, Germany, Get Directions 49 2981 wwwwinterbergde Ski Resort Price Range $$ Impressum Page Transparency See More Facebook is showing information to help you better understand the purpose of a Page See actions taken by the people who manage and post content.
P Facebook is showing information to help you better understand the purpose of a Page. Am besten eignet sich eine Zahnbürste ohne zu harte Borsten und dazu eine fluoridhaltige Zahncreme ohne aufrauende chemische Zusätze Wer zudem einmal täglich die Zähne mit Zahnseide reinigt und womöglich auch die Zahnzwischenräume mit speziellen Bürstchen säubert, hat eine Menge für die Vorsorge vor einem Loch im Zahn getan. Am Zahnhals ist der Zahn einer sehr hohen mechanischen Beanspruchung ausgesetzt, da im Bereich des Zahnhalses während des Kauens starke vertikale sowie horizontalen Kräfte auf diesen wirken Diese hohen Krafteinwirkungen können dazu führen, dass die Zahnhalsfüllung in Teilen oder auch im Ganzen herausbricht und erneuert werden muss.
1,122 Followers, 619 Following, 4 Posts See Instagram photos and videos from David Berger (@davidbergerberlin). Bei Zahnhalskaries sind spezielle Füllungen notwendig Sogenanntes Glasionomerzement ist eine Füllung, die sich eher für kleinere Schäden (wie sie am Zahnhals vorkommen) eignet und am Zahn zusätzlich Fluorid abgibt, um weiteren Kariesbefällen vorzubeugen Ihr Zahnarzt muss diese Füllung aber regelmäßig auf ihre Haltbarkeit kontrollieren.
Pradilektionsstelle Biologie

Konservative Zahnmedizin

Zahnmedizin Putzen Bis Die Zahnhalse Freiliegen Welt

Freiliegende Zahnhalse Ursachen Symptome Behandlung Zahnimplantate Com

Selbsthilfen Im Notfall Empfehlungen Zur Zahnpflege Listerine Fluorid

Zahnstein Entfernen Lassen Apotheken Umschau

10 Tipps 11 Faq Kariesprophylaxe Mundhygiene Gesundheit

Karies Apotheken Umschau

Dentinadhasive Kompositrestauration Zahnnotizen

Karies Behandlung Zahnfaule Entfernen Ganz Ohne Bohren Welt

Stork Dental Zahn Defekt Fullung
Www Kzvh De Wcm Idc Groups Public Documents Publ Dmhv Mdey Edisp Kzvho0160 Pdf

Aktion Gesunde Zahne Gesundes Tier

Riss Im Zahnschmelz Gesundheit Und Medizin Zahnschmerzen Karies

Karies Mund Und Zahnerkrankungen Msd Manual Ausgabe Fur Patienten

Karies Und Parodontitis Was Zahnen Schadet Stern De

Dunkler Fleck Am Zahn Karies Youtube

Zahnfleischruckgang Parodontosebehandlung Ahaus Sicher Schonend Dauerhaft

Zahnschmelz Zahnschmelzabbau Beschadigungen Vorbeugen

Zahnfullungen Welche Gibt Es Blog Zahnputzladen

Zahnnotizen Uber Menschen Und Zahne

Wir Stolpern Uber 28 Zahne Dentaldiary De

Wieso Haben Unsere Zahne Nummern Und Welcher Zahn Ist Was

Karies Behandlung Zahnfaule Entfernen Ganz Ohne Bohren Welt

Diese Krankheiten Werden Durch Kranke Zahne Verursacht Gelencser Dental Magazin

Zahnschmuck Schadlich Fur Die Zahne

Zahnfleischruckgang Parodontosebehandlung Ahaus Sicher Schonend Dauerhaft

Direkte Fullungstherapie Zahnarztpraxis Dres Stegner Freystadt

Freiliegende Zahnhalse Anzeichen Vorbeugung Behandlung Dentalwissen

Zahnhalsrestaurationen Zahnnotizen

Patientenfalle Vorher Nachher Dental Team Dr Hajto Munchen

Welche Zahnfullungen Gibt Es Themen Lokalmatador

Dentinadhasive Kompositrestauration Zahnnotizen

Mundgeruch Das Zahnfleisch Riecht Faulig Es Stinkt

Zahnfullungen Welche Gibt Es Blog Zahnputzladen

Direkte Fullungstherapie Zahnarztpraxis Dres Stegner Freystadt

Ohne Fullung Forscher Nutzen Selbstheilungskrafte Von Zahnen Gesundheit

Wir Stolpern Uber 28 Zahne Dentaldiary De

Die Behandlung Von Zahnhalskaries 360 Zahn De

Schwarzer Punkt Auf Dem Zahn Gleich Karies Zahnarztzentrum Ch Blog

Fullungen L Schulz Ihr Zahnarzt In Neckarsulm

Zahnbehandlungen Kleintierpraxis Stockelsdorf
Zahnfleischentzundung Hier Alles Erfahren Was Sie Dazu Wissen Mussen

Ohne Fullung Forscher Nutzen Selbstheilungskrafte Von Zahnen Gesundheit

Karies Das Loch Im Zahn Vorbeugen Und Heilen Casa Dentalis

Toter Zahn Focus Arztsuche

Selbsthilfen Im Notfall Empfehlungen Zur Zahnpflege Listerine Fluorid

Zahnkaries Wikipedia

W Loch Im Zahn Schmerzen Karies Schmerzt

Ibrrwlmncbeivm

Karies Zahnarztpraxis Dr Ahlvers Ahlvers Wittmund

Zahnschmelz Zahnschmelzabbau Beschadigungen Vorbeugen

Zahnhalskaries Schmerzfrei Behandeln Lassen

Blog Posts Zahnarztpraxis Dres Croy Kieferorthopadie Zahnheilkunde

Zahnfleisch Wikipedia

Vorsorge Ist Besser Als Nachsorge

Zahnreparatur Fss Dental

Wie Aussert Sich Karies Zahnarzt Praxis Ludwigshafen Prof Dr Dhom Mannheim

Zahnkrone Wikiwand

Loch Am Zahnhals Gesundheit Und Medizin Zahne Kariesbehandlung

Fullungsmaterialien Welche Zahnfullungen Gibt Es Der Neue Mann

Zahnfullungen Welche Gibt Es Blog Zahnputzladen

Braune Flecken Auf Den Zahnen Heilpraxis

Dentalnews Suchergebnisse

Wissenschaftliches

Freiliegende Zahnhalse Anzeichen Vorbeugung Behandlung Dentalwissen

Nach Popcorn Entzundetes Zahnfleisch Mit Eiter Schwellung Zahnfleischentzundung

Karies Faktencheck Die 10 Grossten Mythen Uber Das Loch Im Zahn

Selbsthilfen Im Notfall Empfehlungen Zur Zahnpflege Listerine Fluorid

Karies Trotz Zahneputzen Zahnseide Senkt Das Risiko Der Spiegel

Probleme Von Zahnfullungen C Youtube

Wir Stolpern Uber 28 Zahne Dentaldiary De

Zahnaerzte Hh Wurzelkanalbehandlung

Tatigkeitsschwerpunkt Parodontologie Fur Ganzheitliche Zahnmedizin Das Zahnfleisch Riecht Faulig Das Zahnfleisch Stinkt

Kzv Bw Kampf Der Karies

Schwarzer Punkt Auf Den Zahnen Zahnarztpraxis Dr Zibandeh Balke

10 Tipps 11 Faq Kariesprophylaxe Mundhygiene Gesundheit

Zahnfleisch Die Meistgelesenen Fragen

Zahnfleisch Die Meistgelesenen Fragen

Karies

Dentinadhasive Kompositrestauration Zahnnotizen

Nach Neuem Zahnfleisch Lifting Kann Ich Wieder Sorglos Lachen Und Zubeissen Medizin Reporter
Kzv Mv
Q Tbn And9gcspq3 An4 6m6lgsvfky42miek3dkdqe C5p4j34a2bgqrdxh Usqp Cau

Zahnhalskaries

Wie Kann Karies Fruh Erkannt Werden

Cerec Inlays Und Teilkronen In Nur Einer Einzigen Sitzung Zahnarzt Sacha Karmoll

Die Richtige Fullung Bei Einem Loch Im Zahn 360 Zahn

Zahnwurzelentzundung Pulpitis Ursachen Symptome Schmerzen

Konservierende Therapie Zahnarztpraxis Dr Peter Munz

Zahn Abgebrochen Focus Arztsuche

Karies Das Loch Im Zahn Vorbeugen Und Heilen Casa Dentalis

Zahnfullungen Welche Gibt Es Blog Zahnputzladen

Zahnerhaltung Zahnarztpraxis Dr Schweppe

Sind Die Dunklen Stellen Am Zahn Auf Dem Foto Karies Gesundheit Medizin Zahne