Loch Im Zahn Am Zahnfleisch

Fistel Am Zahnfleisch

Warum Putzen Kieferorthopadie Strubel

Karies Karies Loch Im Zahn Zahngesundheit
1

Zahnfleischruckgang Ihr Zahnfleisch Geht Zuruck Das Sollten Sie Tun

Karies Ist Nicht Nur Ein Loch Im Zahn Infos Zu Vorbeugung Ursachen
Guten Morgen, meine Tochter, 7 Jahre, hat seit letzter Woche eine Beule am Oberkiefer, Außenseite, übern Backenzahn (der eine Minifüllung hat).

Loch im zahn am zahnfleisch. Karies, Zahnfleischentzündung, Herzinfarkt Zahnschmerzen können viele Ursachen haben Lesen Sie mehr darüber und über Hausmittel gegen Zahnschmerzen!. Zahnfleisch ist gut durchblutet, hier verlaufen zahlreiche kleine Blutgefäße Gelangt Eiter ins Blut, kann eine lebensgefährliche Sepsis die Folge sein Zudem kann die Entzündung am Zahn zahlreiche Krankheiten nach sich ziehen, die Sie im ersten Moment vielleicht nicht mit dem Zahn in Verbindung bringen. Die Bildung von Taschen am Zahnfleisch sind häufig Ursache für Zahnfleischbluten Obwohl im Mund sich hunderte verschiedene Bakterien Arten befinden, sind viele von ihnen nicht gefährlich Als Pseudotaschen werden jene bezeichnet, die zwar rot und geschwollen sind, sich dennoch fest um den Zahn schließen Erst, wenn zwischen Zahn.
Ich hab zunächst gedacht dass meine Füllung raus ist oder ich ein loch im zahn habe Aber dann habe ich Bilder auf Google gesehn und da scheint ein loch im zahn nur innen drinnen oder unterhalb des Zahnes ist Aber mein Loch ist zwischen zwei Zähnen also man könnte sogar sagen im Zahnfleisch. Das Loch im Zahn ist der Gruppe der Bakterien (Streptococcus) zuzuordnen, die vorwiegend Zähne und angrenzende Gebiete besiedeln Sie werden mit der Nahrung aufgenommen und bleiben an rauen oder unzugänglichen Stellen zwischen Zahn und Zahnfleisch haften. Ursachen für ein Loch im Zahn Stichwort Zahnhygiene Wer mehrfaches gründliches Zähneputzen in seine tägliche Routine integriert, hält die Anzahl der Bakterien im Mundraum niedrig, die sich sonst, vor allem nach dem Essen, auf der Zahnoberfläche zu einem Belag verdichten.
Das betrifft sehr viele Menschen Weil die Symptome gerade zu Beginn der Erkrankung jedoch harmlos erscheinen, wird die Entzündung am Zahnfleisch von den meisten Betroffenen gar nicht bemerkt Das Zahnfleisch geht zurück, es schmerzt und ist geschwollen diese Symptome kann man durch eine konsequente Therapie gut behandelt. ~ zahn nur innen drinnen oder unterhalb des Zahnes ist Aber mein Loch ist zwischen zwei Zähnen also man könnte sogar sagen im Zahnfleisch ~~ beurteilen weil ich keine Ahnung mit sowas habe Wisst ihr vielleicht was das sein. Zahnfleisch weiss eiter am zahnfleisch loch im ohr von geburt an hilfe!.
Hab hinten am letzten backen zahn genau hinter dem zah ein loch Hallo erst mal ich hab seit fast einer woche schmertzen im Zahnfleisch hinter dem backen zahn ist ein loch weiss nicht woher das kommt es tut ziemlich schmerzen weil ich mir dadurch auch die wange aufbeisse muss das genäht werden ?. Ihr Zahnfleisch ist geschwollen?. Wer hat schon mal das loch im sauger.
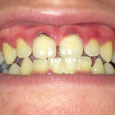
Loch im Zahn Ein Loch im Zahn entsteht, wenn Karies die Zähne schädigt In vielen Fällen verschlimmert eine unzureichende Zahnpflege die Situation zusätzlich Fast alle Menschen haben mit Karies zu kämpfen, selbst die, die eine optimale Zahnpflege und Mundhygiene praktizieren. Dieser Zahn hat ein tiefes Loch am (Zahn)Hals In der Bildmitte können Sie nicht nur extrem dunkel gerötetes und entzündetes Zahnfleisch (Gingivitis) erkennen, sondern zu allem Überfluss auch noch ein schwarzes Loch im Zahn. Hab hinten am letzten backen zahn genau hinter dem zah ein loch Hallo erst mal ich hab seit fast einer woche schmertzen im Zahnfleisch hinter dem backen zahn ist ein loch weiss nicht woher das kommt es tut ziemlich schmerzen weil ich mir dadurch auch die wange aufbeisse muss das genäht werden ?.
Zahnkrankheiten Erkrankungen an Zahn und Zahnfleisch Mit seinen 32 Zähnen hat das Gebiss eines erwachsenen Menschen viel Angriffsfläche für leichte bis schwerwiegende Zahnkrankheiten Wird mit der Zahnhygiene nicht schon zu Beginn des Milchzahnstadiums sorgfältig umgegangen, ist das Risiko von Schäden an den bleibenden Zähnen in sehr. Der Zahnarzt kann ein Loch in den Zahn bohren um den Abfluss des Eiters zu ermöglichen oder das Zahnfleisch wird seitlich aufgeschnitten Diese Behandlung wird allerdings nur angewandt, wenn die Fistel zu groß geworden ist, da der Heilungsprozess deutlich länger und die Behandlung schmerzhafter ist. Zahnfleisch und dann weiter) Der Arzt meinte, er würde nicht nähen, weil der Schnitt nur ein cm lang wäre und so besser heilen würde Heute ist die Schwellung erstmals so weit zurückgegangen, dass ich die Wunde ansehen konnte und jetzt habe ich da ein grosses Loch Die Wunde ist offen und man sieht deutlich auf den Zahn durch.
Kleines Loch im Zahnfleisch Kleines Loch im Zahnfleisch juicyfruit24 am Seitdem die Wunden oben verheilt sind, habe ich beim "letzten" Zahn innen auf den Zahnfleisch ein kleines Loch Allerdings war ich auch schon öfter bei meiner Zahnärztin und sie schaut sich immer alle Ecken und Enden an, deswegen hab ich nichts. Loch im zahnfleisch 19 September 11 Letzte Antwort September 11 um 1629 kommt jetzt eeeeendlich der erste zahn???. Schmerzt beim Essen Tochter hat "weißen Kreis mit Loch" am Zahnfleisch hallo, ich hab mal eine Frage, was das sein könnte unsere Tochter sagt seit 4 en immer wieder, ihr tut's da am Zahn weh, zeigt dann aber auf's Zahnfleisch vorne bei den Schneidezähnen.
Loch im Zahn Ein Loch im Zahn entsteht, wenn Karies die Zähne schädigt In vielen Fällen verschlimmert eine unzureichende Zahnpflege die Situation zusätzlich Fast alle Menschen haben mit Karies zu kämpfen, selbst die, die eine optimale Zahnpflege und Mundhygiene praktizieren. Am häufigsten lassen sich Wundheilungsstörungen nach Operationen am Zahn beobachten, wie zB einer Zahnextraktion Denn wenn ein Zahn im Rahmen einer kleinen OP gezogen wird, entsteht in unserem Zahnfleisch bzw Kiefer eine erhebliche Wunde. Natürlich ist es keine Parodontose da ich noch ziemlich jung bin, aber ist das schlimm?.
Muss jeder dunkle fleck am zahn entfernt werden nein in diesem video gehen wir verschiedene verfärbungen an den zähnen durch und am ende sollten sie in de. War beim zahnarzt, der meinte dan habe ein loch im zahn direkt am zahnfleisch hab erst in minat nen termien es machen zu lassen Nach der zahnstein entfernung tat es ziemlich weh da Jetzt tut zähneputzen, essen und trinken weh. Wie ich ja schonmmal sagte wurden mir am 0409 (6 tage) meine 4 Weisheitzähne gezogen jetzt aber ist mir gestern oder um diesen Dreh aufgefallen das ich unten links ein Loch habe aber bei den anderen nicht ist das normal?.
Hallo , Ich habe seit längerer zeit Schmerzen ob am Zahn oder dazwischen im zahnfleisch Dieses zahnfleisch tut sehr weh beim drücken zb beim Kauen deswegen kaue ich 34 Monate auf der rechten Seite. Zahnfleisch und dann weiter) Der Arzt meinte, er würde nicht nähen, weil der Schnitt nur ein cm lang wäre und so besser heilen würde Heute ist die Schwellung erstmals so weit zurückgegangen, dass ich die Wunde ansehen konnte und jetzt habe ich da ein grosses Loch Die Wunde ist offen und man sieht deutlich auf den Zahn durch. Zahngesundheit von Babys und Kleinkindern Beule am Zahnfleisch, jetzt Loch im Zahn?.
Loch im Zahn – Symptome, Ursachen & Behandlungsmöglichkeiten Hier erfahren Sie die effektivsten Maßnahmen gegen ein Loch im Zahn – und lesen, wie Sie die Ursachen dafür von vornherein vermeiden können, um sich unangenehme Besuche beim Zahnarzt zu ersparen. Guten Morgen, meine Tochter, 7 Jahre, hat seit letzter Woche eine Beule am Oberkiefer, Außenseite, übern Backenzahn (der eine Minifüllung hat). Ursache dafür ist meist mangelnde Mundhygiene und falsche Ernährung, jedoch kann ein “Loch im Zahn” leider trotz bestem Zähneputzens auftreten Schuld ist meist Säureeinwirkung auf der Zahnoberfläche, dadurch entmineralisiert sich der Zahnschmelz und bietet eine leichte Angriffsfläche.
Zahnentzündung ist eine Bezeichnung die im Zusammenhang mit Schmerzen am Zahn steht und hebt sich von gesundem Zahnfleisch durch eine dunkelrote Linie ab, denn Gingivitis (Zahnfleischentzündung) ist eine oberflächliche Entzündung vom Zahnfleischsaum, verursacht durch Bakterien. Hab hinten am letzten backen zahn genau hinter dem zah ein loch Hallo erst mal ich hab seit fast einer woche schmertzen im Zahnfleisch hinter dem backen zahn ist ein loch weiss nicht woher das kommt es tut ziemlich schmerzen weil ich mir dadurch auch die wange aufbeisse muss das genäht werden ?. Beule am Zahnfleisch Welches Hausmittel hilft?.
Mir ist vor ein paar en aufgefallen das ich zwischen meinen Schneidezähnen ein kleines Loch habe (also am Zahnfleisch) und auch beim Zahn daneben Ist eine kleine Lücke dazwischen, dass vorher aber noch nicht war bei mir wollte fragen woher das kommt?. Die eitrige Entzündung wird nicht von alleine und auch nicht mit Hausmitteln verschwinden Der Eiter im Zahn wird sich weiter ausbreiten Daher ist der Gang zum Zahnarzt unvermeidbar Hausmittel können lediglich die Symptome lindern Welche Entwicklung nimmt ein Abszess?. Das Loch im Zahn ist der Gruppe der Bakterien (Streptococcus) zuzuordnen, die vorwiegend Zähne und angrenzende Gebiete besiedeln Sie werden mit der Nahrung aufgenommen und bleiben an rauen oder unzugänglichen Stellen zwischen Zahn und Zahnfleisch haften.
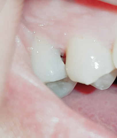
Der Zahnarzt kann ein Loch in den Zahn bohren um den Abfluss des Eiters zu ermöglichen oder das Zahnfleisch wird seitlich aufgeschnitten Diese Behandlung wird allerdings nur angewandt, wenn die Fistel zu groß geworden ist, da der Heilungsprozess deutlich länger und die Behandlung schmerzhafter ist. Wenn im Zahn ein Loch vorhanden ist, ist er von Karies befallen Durch die Zahnfäule wird der Zahnschmelz zerstört Durch die Zahnfäule wird der Zahnschmelz zerstört Sie greift im Laufe der Zeit jeden Teil des Zahns an Das Loch entsteht nicht sofort, sondern dauert relativ lange und ist ein allmählich voranschreitender Prozess. Wann ein Loch im Zahnfleisch entsteht (zB nach dem Zahn ziehen) & was Sie tun können, damit das Loch gut verheilt, erfahren Sie in diesem Ratgeber.
Zahngesundheit von Babys und Kleinkindern Beule am Zahnfleisch, jetzt Loch im Zahn?. Hallo, meine frage wäre folgende habe seit ca 3 Monaten ein kleines Loch im Zahnfleisch Zwei Zähne sind nebeneinander und in der Mitte ist das Zahnfleisch zurück gegangen Es tut nicht weh oder schmerztMein Zahnarzt meinte ich soll mir eine Spülung für paradonditis holen , mit der spüle ich nun zweimal am und es sieht immer noch gleich aus. Sie ist bal 10 monate alt u kämpft eigentlich schon seit 5monaten immerwieder!.
Mir ist vor ein paar en aufgefallen das ich zwischen meinen Schneidezähnen ein kleines Loch habe (also am Zahnfleisch) und auch beim Zahn daneben Ist eine kleine Lücke dazwischen, dass vorher aber noch nicht war bei mir wollte fragen woher das kommt?. Natürlich ist es keine Parodontose da ich noch ziemlich jung bin, aber ist das schlimm?. Die Paste über Nacht am Zahn lassen Weitere Arten der Zahnentzündung Zahnfleischentzündung Eine Zahnfleischentzündung (Gingivitis) entsteht durch Bakterien, die sich auf der Zahnoberfläche sammeln Bei mangelnder Mundhygiene bilden sie Plaque, was zu entzündlichen Prozessen am Zahnfleisch führt.
Loch im Zahn Ein Loch im Zahn entsteht, wenn Karies die Zähne schädigt In vielen Fällen verschlimmert eine unzureichende Zahnpflege die Situation zusätzlich Fast alle Menschen haben mit Karies zu kämpfen, selbst die, die eine optimale Zahnpflege und Mundhygiene praktizieren. Loch im Zahnfleisch nach Weisheitszahn Op normal?. Im Zuge der Behandlung einer Zahnhalskaries unter dem Zahnfleisch klagen viele Patienten über Irritationen und Entzündungen des Zahnfleischs Behandlung Die Gefahr bei Vorliegen einer Zahnhalskaries liegt in der Tatsache, dass der Zahnhals im Vergleich zur Krone über keinen Schmelzanteil verfügt.
Erst der Zahnarzt konnte durch die Diagnose ‚Loch im Zahn‘ mit einer neuen Zahnfüllung Abhilfe schaffen Von einer Stunde auf die nächste war es undenkbar, etwas Süßes zu essen Der Zahnarzt hat bestätigt, dass Zähne, die an einer Stelle zu faulen begonnen haben, durch den Verzehr von Zucker extrem vehemente Schmerzen bereiten. Dieser Zahn hat ein tiefes Loch am (Zahn)Hals In der Bildmitte können Sie nicht nur extrem dunkel gerötetes und entzündetes Zahnfleisch (Gingivitis) erkennen, sondern zu allem Überfluss auch noch ein schwarzes Loch im Zahn.

Leistungen

Parodontitis Zahnfleischschwund Dunkler Fleck Minimed At

1 Zahn Loch Zu Sehen Wie Lange Noch Forum Baby Urbia De

Karies Faktencheck Die 10 Grossten Mythen Uber Das Loch Im Zahn

Zahnfleischentzundung Focus Arztsuche

Wissenschaftliches

Milchzahn Unter Eiter Wie Helfe Ich Meinem Kind Dentalplanet

Karies Ursachen Symptome Behandlung

Tipps Zur Mundgesundheit Bei Grundschulern Zwp Online Das Nachrichtenportal Fur Die Dentalbranche

Karies Behandlung Zahnfaule Entfernen Ganz Ohne Bohren Welt

Loch Im Zahn Behandlung Ohne Schmerzen Centrocc Dental

Ein Loch Im Zahn Wege Der Schmerzfreien Behandlung

13 Ursachen Fur Zahnschmerzen Was Sie Dagegen Tun Konnen Dentalplanet

Weisheitszahn Op Ablauf Dauer Schwellung Schmerzen Kosten

180 Loch Im Zahn Fotos Kostenlose Und Royalty Free Stock Fotos Von Dreamstime

Loch Im Zahnfleisch Nach Zahnextraktion Stockbild Bild Von Zahnextraktion Zahnfleisch

Was Ist Das Mit Meinem Zahnfleisch Zahnarzt Zahnarzte

Loch Im Zahn Symptome Ursachen Behandlungsmoglichkeiten Dentalwissen

So Erkennst Du Garantiert Ein Loch Im Zahn Zahnaufhellung Test

Parodontose Fragen

Loch Im Zahnfleisch Nach Zahnextraktion Stockbild Bild Von Zahnextraktion Zahnfleisch
Q Tbn And9gcrluni5kgwv W6dgncyggtz Qs5yo8rfznlvaq7jkgcjaypksap Usqp Cau

Nachdenken

Loch Im Durchbrechenden Zahn Forum Baby Urbia De

Zahnchirurgie Wundheilung Nach Zahnextraktion Oder Operation Ihr Heilungsratgeber

Loch Im Zahn Erkennen Ursachen Behandlung Zahnimplantate Com

Mundgeruch Das Zahnfleisch Riecht Faulig Es Stinkt

Zahn Entzundet Wie Eine Wurzelbehandlung Hilft Ndr De Ratgeber Gesundheit

Wenn Die Seele Zahnschmerzen Macht Gesundheitsstadt Berlin

Zahnheilkunde Zahnarztpraxis Geragori

Kann Ich Mein Zahnfleisch Noch Retten Zahnarzt Behandlung

Patientenfalle Vorher Nachher Dental Team Dr Hajto Munchen

Selbsthilfen Im Notfall Empfehlungen Zur Zahnpflege Listerine Fluorid
1

Zahnhalskaries Schmerzfrei Behandeln Lassen

Diese Krankheiten Werden Durch Kranke Zahne Verursacht Gelencser Dental Magazin

Trotz Vorsorge Warum Frauen Schlechtere Zahne Haben Als Manner Welt

Zahnschmerzen Ursachen Behandlung Hausmittel Netdoktor

Pin Auf Gesundheit

Fragen Rund Um Die Zahne Zahnarzt Spiez Dr A Kammermann

Karies Ursachen Symptome Behandlung

Toter Zahn Focus Arztsuche

Wissenschaftliches

Loch Im Zahn Behandlung Ohne Schmerzen Centrocc Dental

Karies Behandlung Zahnfaule Entfernen Ganz Ohne Bohren Welt
Q Tbn And9gct8hzxzv0bmj4diujmn Ucv Fcxjrc47sx1k9wz2sb8tbtxf1rz Usqp Cau

Um Schaden An Zahnen Und Zahnfleisch Vorzubeugen Mussen Kinderzahne Regelmassig Gereinigt Und Gepflegt Werden Denn Ein Loch Im Mil Zahne Milchzahne

Erste Hilfe Beim Hund Zahnschmerzen

Loch Am Zahnhals Gesundheit Und Medizin Zahne Kariesbehandlung

Karies So Sind Sie Optimal Gegen Die Faulnis Gewappnet Dentolo

Kann Der Zahnarzt So Ein Karies Entfernen Zahn Ohne Loch Gesundheit Und Medizin

Ein Abgebrochener Zahn Muss Schnell Behandelt Werden
2

Karies Das Loch Im Zahn Vorbeugen Und Heilen Casa Dentalis

Karies Ursachen Symptome Und Pravention Netdoktor

Zahnfleischruckgang Ihr Zahnfleisch Geht Zuruck Das Sollten Sie Tun

Wissenschaftliches

Zahnfleisch Lose Zwischen Zahn Gesundheit Medizin Arzt

Loch Im Zahnfleisch Tut Weh Gesundheit Und Medizin Gesundheit Zahne

Nachdenken

Zahnfleischentzundung Symptome Schmerzen Anzeichen Dentalwissen

Loch Im Zahn Symptome Ursachen Behandlungsmoglichkeiten Dentalwissen

Zahnfleischruckgang Ihr Zahnfleisch Geht Zuruck Das Sollten Sie Tun

Karies Faktencheck Die 10 Grossten Mythen Uber Das Loch Im Zahn

Diese Krankheiten Werden Durch Kranke Zahne Verursacht Gelencser Dental Magazin

Zahn Um Zahn Die 9 Schlimmsten No Gos Fur Ihre Zahne Dentolo

Zahnfleisch Die Meistgelesenen Fragen

Loch Im Zahnfleisch Was Tun Dentalwissen

Schwarzer Punkt Auf Dem Zahn Gleich Karies Zahnarztzentrum Ch Blog

Zahnfleischruckgang Ihr Zahnfleisch Geht Zuruck Das Sollten Sie Tun

Karies Das Loch Im Zahn Vorbeugen Und Heilen Casa Dentalis

Etwas Komisches Am Zahn Zahnfleisch Zahne

Wissenschaftliches

Zahnkrankheiten Bei Kindern Mama Mein Mund Tut Weh Stern De

Wie Sich Unsere Zahne Selbst Heilen

Karies Das Loch Im Zahn Vorbeugen Und Heilen Casa Dentalis

Was Komisches Hinten Am Zahnfleisch Ecke Schmerzen Zahne Fleisch

Loch Im Zahnfleisch Was Tun Dentalwissen

Zahnstein Entfernen Lassen Apotheken Umschau

Karies In Den Milchzahnen Ist Gefahrlich Baby Und Familie

Blutiges Loch Im Zahnfleisch Gesundheit Und Medizin Zahne Zahnfleischentzundung

Zahnstein Entfernen Lassen Apotheken Umschau

Zahnmedizin Karies Zahn Stopft Loch Selbst

Karies

Altbekannten Diesem Geschadigte Konnten Medikament Mit Reparieren Selbst Sich Zahne Zukunftig Mit Diesem Altb Karies Zahne Zahnfleischruckgang Zahne

Loch Im Zahnfleisch Was Tun Dentalwissen

Mit Diesem Altbekannten Medikament Konnten Sich Geschadigte Zahne Zukunftig Selbst Reparieren Der Hammer Zahne Zahnstein Entfernen Mundpflege

Karies Bei Kindern Focus Arztsuche

Fullungen Und Inlays Unsere Leistungen Sagadent Zahnarzt Munchen

Karies Das Loch Im Zahn Vorbeugen Und Heilen Casa Dentalis

Die Zahne Des Hundes Wie Man Zahnschmerzen Erkennt Und Behandelt Stern De

Loch Im Zahnfleisch Was Tun Dentalwissen

Zahne Diese Krankheiten Verursachen Sie

Zahnfleischruckgang Ihr Zahnfleisch Geht Zuruck Das Sollten Sie Tun

Freiliegende Zahnhalse Ursachen Symptome Behandlung Zahnimplantate Com

Il Legale Drogen Kryptonit Fur Zahne Und Zahnfleisch Zwp Online Das Nachrichtenportal Fur Die Dentalbranche

Zahnfleisch Die Meistgelesenen Fragen

Loch Im Zahnfleisch Was Tun Dentalwissen